Results
AFIP Wednesday Slide Conference - No. 27

6 May 1998

Conference Moderator:
COL Nancy Jaax, Diplomate, ACVP
Pathology Division
U.S. Army Medical Research Institute of Infectious Diseases
Ft. Detrick, Frederick, MD 21702-5011

Return to WSC Case Menu.

Case I - 97-99-11 or 97-99-13 (AFIP 2593663); 2 photos.

Signalment: Adult, male, cynomolgous macaque (Macaca fascicularis).

History: This animal developed an acute multifocal to coalescing dermatitis affecting the entire body surface. Affected foci were 0.5 to 1.0 cm in diameter, erythematous, and rarely contained central vesicles (see included gross photos). The animal died during sedation for supportive treatment.

Gross Pathology:

Dermatitis, vesicular, multifocal to coalescing, generalized.
Hepatitis, necrotizing, multifocal, acute, severe.
Splenitis, necrotizing, multifocal, acute, severe.

Laboratory Results: Virology: Simian varicella virus was cultured from samples taken at the time of the gross examination.

Contributor's Diagnoses and Comments:
1. Dermatitis, vesicular, acute, multifocal with epithelial syncytial cells and eosinophilic intranuclear inclusions.
2. Subcuticular hemorrhage and vasculitis, multifocal (not present in all sections).

Etiology: Simian varicella virus.

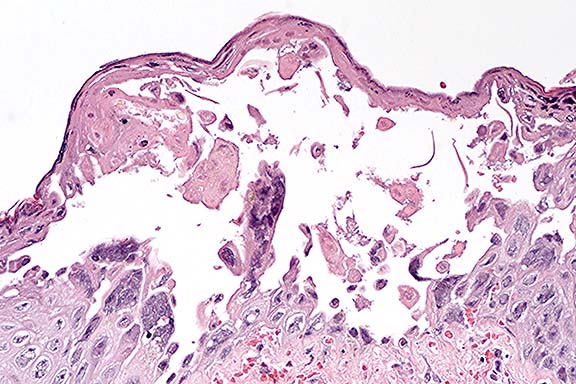
In contrast to the gross skin lesions, the microscopic lesions are relatively mild and include degeneration and necrosis of surface and adnexal epithelium and vesicle formation. Intranuclear viral inclusions are present in almost all affected epithelial foci. A mild variable neutrophilic infiltrate and multifocal subcuticular hemorrhage are present in the dermis of some affected sections. In sections with subcutaneous hemorrhage, small vessels are congested, lined by rounded endothelium and contain occasional fibrin aggregates. Some vessel walls are necrotic and rare endothelial cells contain intranuclear inclusions. Similar vascular lesions are present in the spleen.

This animal was wild-caught and had been in the colony for 8 years. However, it had been recently moved to a new room and separated from a grooming partner. No evidence of disease has been documented in co-housed animals prior to or up to 3 months following this occurrence. This case is speculated to represent reactivation of a latent herpesviral infection secondary to stress involved in moving to a new environment, separation from a grooming partner or both.
 
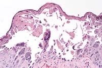
Case 27-1. Lip. The inner surface shows a vesicle containing necrotic acanthocytes and multincleated syncytial cells with diffuse, vague amphophilic nuclear inclusions. 20X
AFIP Diagnoses:
1. Lip: Degeneration and necrosis, epithelial, multifocal, with vesicles, syncytia, vasculitis, and epithelial and endothelial eosinophilic intranuclear inclusion bodies, cynomolgous monkey (Macaca fascicularis), primate.
2. Minor salivary glands: Sialoadenitis, lymphoplasmacytic, diffuse, mild to moderate.

Conference Note: Conference participants interpreted the sialoadenitis as a chronic process unrelated to the acute herpesviral infection.

Simian varicella virus (SVV) infection in nonhuman primates causes disease that is similar in many ways to that caused by varicella zoster virus (VZV) in humans. VZV is transmitted by aerosol, disseminates hematogenously, and causes a self-limiting primary infection in immunocompetent humans consisting of widespread vascular skin lesions (chickenpox, or varicella). VZV also infects satellite cells around neurons in the dorsal root ganglia and remains latent there for many years. Recrudescence occurs in elderly or immunosuppressed patients, and causes shingles (zoster), which is characterized by pain and vesicular skin eruptions in the area of distribution of the affected sensory nerve. Acute SVV infection in Old World monkeys causes similar generalized skin lesions. Additionally, viral infection of ganglia by SVV has been documented, though the associated inflammation is much less severe than that seen in shingles.1 The route of ganglionic infection is unclear. A shingles-like recrudescence has not been reported in SVV-infected monkeys.

Both SVV and VZV cause inflammation and necrosis, accompanied by eosinophilic intranuclear inclusion bodies, in multiple organs, including liver and lung. Common clinicopathologic abnormalities seen in both infections include thrombocytopenia and increased aspartate aminotransferase (AST). A major difference is that in humans, varicella is seldom fatal, whereas the mortality rate of SVV infection in nonhuman primates is high.

Contributor: Department of Comparative Medicine and Washington Regional Primate Research Center, Box 357190, Health Sciences, University of Washington, Seattle, WA 98195-7190.

References:
1. Dueland AN, Martin JR, Devlin ME, Wellish M, Mahalingam R, Cohrs R, Soike KF, Gilden DH: Acute simian varicella infection. Clinical, laboratory, pathologic, and virologic features. Laboratory Investigation 66(6):762-773, 1992.
2. Padovan D, Cantrell CA: Varicella-like herpesvirus infections of nonhuman primates. Lab Anim Sci 36(1):7-13, 1986.
3. Samuelson J, von Lichtenberg FV: Infectious diseases. In: Robbins Pathologic Basis of Disease, 5th edition; Cotran RS, Kumar V, Robbins SL (eds.), W.B. Saunders Company, pp. 349-350, 1994.

 

Case II - Case 1 (AFIP 2507404)

Signalment: Adult, male, Sprague-Dawley rat.

History: This animal was in the control group of a subchronic toxicity study and was necropsied on day 120 of the study.

Gross Pathology: At necropsy, gross morphological changes were limited to bilaterally enlarged external ears.

Contributor's Diagnosis and Comments: External ear: Inflammation, pyogranulomatous with cartilaginous proliferation and osseous metaplasia, severe, compatible with auricular chondropathy of Crl:CDÒ Rats.

The signalment, history and morphology of this case are consistent with the spontaneous auricular chondropathy of aging Sprague-Dawley and fawn hooded rats. The condition is characterized by degeneration and lysis of the auricular cartilage with associated granulomatous inflammation and subsequent cartilage hyperplasia and osseous metaplasia. This lesion has been compared to relapsing polychondritis in humans; however, in rats the lesion is limited to the ear.
 
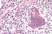
Case 27-2. Ear. Proliferating cartilage is surrounded by dense fibrous tissue and a loose infiltrate of neutrophils within and between the expanded mature collagen fibers. 10X
AFIP Diagnosis: Ear, pinna: Chondritis, pyogranulomatous and proliferative, multifocal, moderate, with osseous metaplasia, Sprague-Dawley rat, rodent.

Conference Note: In addition to Sprague-Dawley and fawn hooded rats, a similar auricular chondropathy has been reported in Wistar rats.2 The pathogenesis of this condition remains unclear. Relapsing polychondritis in humans is associated with antibodies to type II collagen, the major component of cartilage matrix.4 Prieur et al described spontaneous auricular lesions in rats which resembled those caused by immunization of rats with type II collagen, and they suggested the use of these rats as an animal model for the study of the role of immunity to type II collagen as a mechanism of disease of cartilage.3 In contrast, a later study with Crl:CD(SD)BR rats demonstrated no immunity to type II collagen in affected rats; the author concluded that the chondritis was likely due to an autoimmune response initiated by a chronic inflammatory process at the insertion site of metal ear tags.4

Contributor: Novartis Pharmaceuticals, 556 Morris Avenue, Summit, NJ 07901-1398

References:
1. Chiu T, Lee KP: Auricular chondropathy in aging rats. Vet Pathol 21:500-504, 1983.
2. McEwen BJ, Barsoum NJ: Auricular chondritis in Wistar rats. Laboratory Animals 24:280-283, 1990.
3. Prieur DJ, Young DM, Counts DF: Auricular chondritis in fawn-hooded rats. A spontaneous disorder resembling that induced by immunization with types II collagen. Am Journ Pathology 116:69-76, 1984.
4. Meingassner JG: Sympathetic auricular chondritis in rats: a model of autoimmune disease? Laboratory Animals 25:68-78, 1991.


Case III - 94P714 (AFIP 2461134)

Signalment: 6-week-old, conure, avian.

History: This baby conure was being hand raised and was feeding okay. Unexpectedly, it was found dead.

Gross Pathology: A 3 mm nodular mass was adherent to the endocardial surface of the left atrium.

Contributor's Diagnosis and Comments: Vegetative mural endocarditis of the left atrium caused by a fungus of the Zygomycetes class.

The vegetation contains fibrin, amorphous proteinaceous material, erythrocytes, a mixture of leukocytes, cellular detritus and myriads of fungal hyphae. Several multinucleate giant cells are present in the area of attachment to the endocardium. Fibroplasia is present in that region also. Fungal hyphae are nonseptate, branch irregularly and do not have parallel sides. These are characteristics of the Zygomycetes class, which includes several pathogenic genera such as Absidia, Mucor and Rhizopus spp. Cultures were not attempted. Microscopic granulomas were found adjacent to the major bronchus of one lung. Similar fungal hyphae were present there and we conclude that the lesion in the left atrium developed secondary to the pulmonary infection.
 
Case 27-3. Heart valve. Fungal hyphae with non-parallel sides are partially surrounded and being phagocytized by multinucleated giant cells which are admixed with fibrin, histiocytes and small lymphocytes. PAS 40X
 
AFIP Diagnosis: Heart: Endocarditis, vegetative, heterophilic and granulomatous, valvular and mural, severe, with focally extensive myocarditis and epicarditis, and numerous fungal hyphae, conure, avian, etiology consistent with a mucoraceous zygomycete.

Conference Note: Conference participants discussed the morphologic differences between Aspergillus sp., common pathogens of birds, and Zygomycetes, which are occasionally seen in immunocompromised or debilitated birds. Aspergillus sp. hyphae are typically 3 to 6 mm wide, septate and branched. Branching is dichotomous and often at acute angles. Typical mucoraceous hyphae vary from 5 to 20 mm wide and branch nondichotomously at right angles. The hyphal walls are thin and often become twisted or folded.

The biological behavior of zygomycosis and aspergillosis in birds is similar. Infection of the lungs is usually primary, followed by necrotizing vasculitis, invasion of blood vessels by fungal elements, and subsequent hematogenous dissemination to multiple organs.

Contributor: Iowa State University, College of Veterinary Medicine, Ames, IA 50011.

References:
Jessup DA: Valvular endocarditis and bacteremia in a bald eagle. Mod Vet Pract 61(1):49-51, 1980.

International Veterinary Pathology Slide Bank:
Laser disc frame #18419

 

Case IV - 94-3272 (AFIP 2458318)

Signalment: 6-year-old, male, rhesus macaque (Macaca mulatta).

History: The animal was found dead. It had a history of decreased appetite during the last few days. 16 months prior, it was on antibiotics for an infection of a catheter site.

Gross Pathology: An indwelling catheter was present from the dorsal cervical subcutaneous tissue into the right jugular vein and into the right atrium. Bilateral, red, firm to meaty circular to irregularly shaped foci, up to 5 mm in diameter, were disseminated over the natural and cut surfaces of the lung. The left epididymis was enlarged focally and contained white purulent fluid.

Laboratory Results: Bacteriology results:

Blood: Staphylococcus aureus
Lung: Staph. aureus, Klebsiella pneumonia
Epididymis: Staph. aureus, Klebsiella pneumonia

Contributor's Diagnoses and Comments:
1. Multifocal, suppurative, pulmonary vasculitis and thrombosis with intralesional gram positive cocci.
2. Multifocal, granulomatous pneumonia with birefringent foreign material.
3. Acute, multifocal, perivascular interstitial pneumonia.
 
Critical features to the development of the lesions in this monkey were the jugular catheter and the epididymitis. The catheter may have injured the right atrioventricular valve, predisposing to the vegetative endocarditis and it may have also provided the source of the sepsis. Another likely source of the sepsis was the epididymitis. Injury to the endothelium is critical to the establishment of endocarditis but Staph. aureus can implant on previously "normal" valves. Bacterial emboli released from the right atrioventricular valve showered the lungs and caused an embolic pneumonia and vasculitis. A second lesion in the lungs of this monkey was the multifocal granulomatous pneumonia. This may have been the result of inhalation of foreign material during a period of illness or perhaps during one of the anesthetic procedures. Birefringent foreign material is present in the giant cells and a second type of foreign material is seen in the larger airways and is more consistent with plant or food material. Other birefringent material noted in the lungs is "mite exhaust" and acid hematin (artifact).
Case 27-4a. Lung. A bacterial colony and many neutrophils are plugging a small artery. and the neutrophils are transmigrating the vessel wall (bacterial embolus with necrotizing vasculitis) into the adventitia and interstitium. 40X
Case 27-4b. Lung. Foreign (plant) material plugging a bronchiole is accompanied by multinucleated giant cells. 20X
AFIP Diagnoses:
1. Lung: Pneumonia, necrosuppurative, embolic, multifocal, moderate, with necrotizing vasculitis, fibrin thrombi, and numerous cocci, rhesus monkey (Macaca mulatta), primate.
2. Lung: Bronchopneumonia, granulomatous, multifocal, moderate, with foreign material.

Conference Note: Conference participants discussed the importance of recognizing that two distinct processes are evident. One process is chronic, bronchocentric, and a result of foreign material introduced into the airways. The other process is more acute, angiocentric, and a result of staphylococcal bacteremia.

Staphylococcus aureus and Streptococcus pneumoniae are pathogenic cocci that cause pneumonia in primates. In contrast to the present case, S. pneumoniae usually appears as small diplococci and causes a fibrinohemorrhagic pneumonia, often accompanied by fibrinous pleuritis and pericarditis.

Contributor: North Carolina State University, College of Veterinary Medicine, 4700 Hillsborough Street, Raleigh, NC 27606

References:
1. Pittet D, Hulliger S, Auckenthaler R: Intravascular device-related infections in critically ill patients. J Chemother 7 Suppl 3:55-66, 1995.
2. Robinson WF, Maxie MG: The cardiovascular system. In: Pathology of Domestic Animals, 4th edition, Jubb KVF, Kennedy PC, Palmer N (eds.), Academic Press, Inc., vol 3, pp. 24-27, 1993.
3. Dungworth DL: The respiratory system. In: Pathology of Domestic Animals, 4th edition, Jubb KVF, Kennedy PC, Palmer N (eds.), Academic Press, Inc., vol 2, pp. 608-610, 1993.

International Veterinary Pathology Slide Bank:
Laser disc frame #8494

Terrell W. Blanchard
Major, VC, USA
Registry of Veterinary Pathology*
Department of Veterinary Pathology
Armed Forces Institute of Pathology
(202)782-2615; DSN: 662-2615
Internet: blanchard@email.afip.osd.mil

* The American Veterinary Medical Association and the American College of Veterinary Pathologists are co-sponsors of the Registry of Veterinary Pathology. The C.L. Davis Foundation also provides substantial support for the Registry.

Return to WSC Case Menu.