Results
AFIP Wednesday Slide Conference - No. 25

15 April 1998

Conference Moderator:
Dr. John M. Pletcher, Diplomate, ACVP
Pathology Associates International
15 Worman's Mill Court
Frederick, MD 21701

Return to WSC Case Menu.

Case I - 536-95 (AFIP 2593304)

Signalment: Adult, male, radiated tortoise (Geochelone radiata).

History: This tortoise was housed on St. Catherine's Island, Georgia, USA. It had a 2 week history of lethargy, anorexia and a mild oral discharge. Blood was drawn for a complete blood count and serum biochemical profile. Symptoms did not improve with antibiotics and supportive care. The animal was found dead in the enclosure.

Laboratory Results:

Test

 Result

 Reference Range
 Hematology:    
 Total solids

 4.0

--
 WBC x 103

3.9

4.3
 hematocrit (%)

 28

31
 WBC Differential%:
 Mono 12 4
Lymph  48  37
Seg  25 47
 Eos  0 4
 Baso 15 8
 Serum Chem:    
 Calcium (mg/dL)  6.3 10.8-14.4
 Glucose (mg/dL)  78 46-93
 Uric Acid (mg/dL)  2.4 0-0.6
 Total Protein (g/dL)  4.2 3.2-5.0
 AST (IU/dL)  495 --
 Creatinine (mg/dL) 0.2 --

Contributor's Diagnoses and Comments:
1. Kidney: Renal tubular epithelial degeneration, multifocal, marked with karyomegaly and intranuclear inclusion bodies, radiated tortoise (Geochelone radiata), etiology consistent with intranuclear coccidiosis.
2. Kidney: Nephritis, multifocal to coalescing, lymphoplasmacytic, eosinophilic, mild to moderate, radiated tortoise (Geochelone radiata).

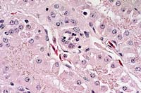
Histopathology: Section of kidney. Scattered throughout the section, multifocal renal tubules are in various stages of degeneration. Individual renal tubular epithelial cells have granular to vacuolated, pale eosinophilic cytoplasm. Small numbers of renal tubular epithelial cells also exhibit nuclear pyknosis. The central lumen of occasional tubules contains moderate amounts of an amorphous, eosinophilic material. Numerous renal tubular epithelial cell nuclei contain single to multiple, round to elliptical, eosinophilic to amphophilic, often membrane bound, intranuclear inclusions ranging up to 8 mm in diameter. Occasional infected nuclei are up to 2 times normal size with marginated chromatin. Often the surrounding interstitium is infiltrated by minimal to moderate numbers of inflammatory cells. In some sections little inflammation is present. The infiltrate is composed of moderate numbers of mature lymphocytes with fewer plasma cells and scattered eosinophils. The cytoplasm of few renal tubular epithelial cells contains round, granular brown pigment (lipofuscin) or round, eosinophilic granules (protein droplets) predominantly located along the apical border.

In some, but not all, sections an adjacent fragment of adrenal gland is present. Occasional adrenal cell nuclei contain the previously described intranuclear inclusions and associated inflammation.

Electron microscopy: Ultrastructural evaluation of the intranuclear inclusion bodies in the renal tubular epithelial cells demonstrated various stages of developing coccidia.

Over 30 coccidian species have been identified in turtles and tortoises. Most of these are rarely associated with lesions and typically undergo endozoic development within the cytoplasm. There are, however, at least 11 species of Eimeria, Isospora, and Cyclospora known to have stages with intranuclear development. Four of these have been identified in reptiles, specifically in lizards. This animal originated from the same group reported in the article by Jacobson et al.1 At this time, little is known about the origin and life cycle of this coccidian. The transmission cycle and definitive host are also unknown. Jacobson et al1 considered the North American skink as a possible definitive host because intranuclear coccidiosis has been described in this species. However, this was later ruled out due to ultrastructural differences. The severity of infection in the tortoises suggests these non-indigenous animals may be serving as aberrant hosts for this parasite.

Identification of coccidia to the genus and species level requires study of sporulated oocysts. None were found in tortoises housed with the case study animals or from tortoises originating from St. Catherine's Island. Final identification will require further study.
 
Case 25-1. Kidney. Several vague inclusions (coccidia) are in the swollen tubular epithelial cell nucleus (center) and adjacent epithelial cells are degenerating. 40X
AFIP Diagnoses:
1. Kidney: Nephritis, interstitial, lymphoplasmacytic, multifocal, moderate, with tubular degeneration and necrosis and intranuclear protozoa, radiated tortoise (Geochelone radiata), reptile.
2. Adrenal gland: Adrenalitis, lymphoplasmacytic, multifocal, mild, with rare cortical intranuclear protozoa.

Conference Note: A few sections viewed in conference also contained a small section of urinary bladder which contained similar protozoal organisms.

Scattered renal epithelial cells contain numerous small eosinophilic droplets. Eosinophilic droplets in renal tubular epithelial cells are commonly seen in normal male rats. In male snakes, they are seen in the tubular portion of the nephron known as the sex segment.3 It is unclear whether the presence of these droplets in chelonians is a sex-related phenomenon, but they are considered non-pathologic.

The four species of intranuclear coccidia reported to infect reptiles are all members of the genus Isospora, and all have been reported in lizards, one of which is a North American skink (Scincella lateralis).1

Contributor: Wildlife Conservation Society, Department of Pathology, 185th St. and Southern Blvd, Bronx, NY 10460

References:
1. Jacobson ER, Schumacher J, Telford SR, Greiner EC, Buergelt CD, Gardiner CH: Intranuclear coccidiosis in radiated tortoises (Geochelone radiata). Journal of Zoo and Wildlife Medicine 25(1):95-102, 1994.
2. Mader DR (ed.): Reptile Medicine and Surgery. W.B. Saunders, Philadelphia, PA, pp. 474,479; 1996.
3. Montali RJ, Bush M, Smeller JM: The pathology of nephrotoxicity of gentamicin in snakes. Vet Pathol 16:108-115, 1979.

 

Case II - 97-0461 (AFIP 2611504); one photo.

Signalment: 16.5-year-old, castrated male, Domestic Shorthair cat.

History: This cat had a history of chronic liver disease and had been on Prednisone, which had been tapered and discontinued after it was felt that it had no benefit. Two weeks later, he developed acute episodes of dyspnea with crying, flaccidity, tachycardia, etc. An echocardiogram revealed a pericardial mass with effusion. He was euthanized, and his body was received in a frozen condition for necropsy the following day.

Gross Pathology: Animal was in good nutritional condition with moderate amounts of abdominal and subcutaneous fat. There was 80 ml of straw-colored fluid in the abdominal cavity. The lungs were uniformly dark red. There was 12 ml of clear red fluid in the pleural cavity. There was a multilobular, firm, white to tan, 2x2x4 cm mass involving the pericardial sac and base of the mainstem bronchi. The gastrointestinal tract contained small amounts of normal ingesta. The colon contained formed feces. The liver was mottled and had an irregular surface with multiple dark red nodules up to 2 cm in diameter. There were multiple 2-3 mm shrunken white areas on the surface of the liver that were cystic on cross section. The liver was firm on cross-section. The left thyroid lobe was enlarged and measured 2x0.75 cm. The right thyroid lobe measured 1x0.5 cm.

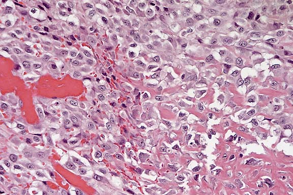
Contributor's Diagnosis and Comments: Pericardium: Osteosarcoma, Domestic Shorthair, feline.

The osteosarcoma appeared to be of pericardial origin, as no other primary site of tumor was identified in this animal. Pericardial tumors are infrequent and most often identified as metastatic from other sites. Osteosarcomas most frequently affect the appendicular skeleton in cats. Extraskeletal osteosarcomas are rare in domestic animals but have been reported. This appears to be a unique case. The extensive involvement of the pericardium led to cardiac restriction and subsequent failure. Associated lesions noted in this cat included centrilobular hepatic fibrosis, with macronodular regeneration, chronic hepatic congestion, epicardial fibrosis, with chronic epicarditis and hemosiderin-laden macrophages. Other lesions noted included multiple hepatic biliary cysts, nodular hyperplasia of the thyroid gland and pancreas, pancreatic islet amyloidosis and chronic, lymphocytic interstitial nephritis. The bile duct cysts may have occurred secondary to the fibrotic change; however, they are fairly common findings in cats. The other lesions are common age-related changes in older cats.
 
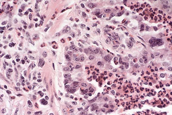
Case 25-2. Pericardium. Some clusters of the anaplastic sarcoma cells are producing a small amount of non-mineralized, hypereosinophilic, osteoid. 20X
AFIP Diagnosis: Pericardium (per contributor): Osteosarcoma, Domestic Shorthair, feline.

Conference Note: The mass is composed of spindled and polygonal cells arranged in bundles, streams and whorls. Multifocally, neoplastic cells are separated or surrounded by a homogeneous eosinophilic matrix consistent with osteoid. Invasive growth, extensive necrosis, frequent mitoses and nuclear atypia indicate malignancy. By immunohistochemistry, many of the neoplastic cells are positive for S-100 protein. The essential feature of osteosarcoma, production of osteoid by malignant cells, is present. In humans and dogs, osteosarcomatous differentiation occurs rarely in malignant melanoma and malignant peripheral nerve sheath tumors. Thus, these neoplasms were considered in the differential diagnosis. Melanomas and nerve sheath tumors are often S-100 positive; S-100 positivity has also been reported in human osteosarcoma. We are unaware of any reports of osteosarcomatous differentiation in feline melanomas or nerve sheath tumors. No histologic features highly characteristic of melanoma (such as brown to black cytoplasmic pigment) or nerve tumor (such as Verocay bodies) were observed in the examined sections. Thus, the evidence supports the contributor's diagnosis of osteosarcoma. Whole body radiographic examination is helpful in excluding the possibility of an undetected primary osteosarcoma in bone when extraskeletal osteosarcoma is suspected.

Osteosarcomas are the most common skeletal neoplasms in both cats and dogs.2 They most commonly arise in the metaphyseal region of long bones. Some arise in the periosteum. In dogs, osteosarcomas of the axial skeleton metastasize less readily than those of the appendicular skeleton8, while the opposite is true in cats.2 Primary extraskeletal osteosarcomas are rare in animals other than dogs where it is usually associated with mammary neoplasia.

In a study of 106 osteogenic tumors of dogs, alterations in the expression of p53 tumor suppressor protein correlated with highly aggressive tumor behavior.8 Canine appendicular osteosarcomas had a significantly higher prevalence of p53 overexpression than did osteosarcomas of the axial skeleton and multilobular tumors of bone. However, it is unclear whether p53 overexpression can be used as a prognostic factor in patients with osteosarcoma.

Contributor: Walter Reed Army Institute of Research, Washington, D.C. 20307-5100.

References:
1. Holzworth J: Diseases of the Cat. Medicine and Surgery. W.B. Saunders Co., pp. 445-453, 479; 1987.
2. Palmer N: Bones and joints. In: Pathology of Domestic Animals, 4th ed., Jubb KVF, Kennedy PC, Palmer N (eds.), Academic Press, Inc., vol. 1, pp. 133-135, 1993.
3. Levy MS, Mauldin G, Kapatkin AS, Patnaik AK: Nonlymphoid vertebral canal tumors in cats: 11 cases (1987-1995). JAVMA 210(5):663-664, 1997.
4. Quigley PJ, Leedale AH: Tumors involving bone in the domestic cat: a review of fifty-eight cases. Vet Pathol 20:670-686, 1983.
5. Seat ND, Douglass JP, Godshalk CP, Fingland RB: What is your diagnosis? JAVMA 204(6):879-880, 1994.
6. Slayter MV, et al: Histological Classification of Bone and Joint Tumors of Domestic Animals, Armed Forces Institute of Pathology, pp. 9-11, 1994.
7. Woog J, Albert DM, Gonder JR, Carpenter JJ: Osteosarcoma in a phthisical feline eye. Vet Pathol 20:209-214, 1983.
8. Sagartz JE, Bodley WL, Gamblin RM, Couto CG, Tierney LA, Capen CC: p53 tumor suppressor protein overexpression in osteogenic tumors of dogs. Vet Pathol 33(2):213-221.

International Veterinary Pathology Slide Bank:
Laser disc frame #14639, 20877, 20878

 

Case III - 97RD232 (AFIP 2595762)

Signalment: 7-year-old, Persian, neutered male, cat.

History: Progressive darkening of the iris unilaterally for several months.

Contributor's Diagnosis and Comments: Feline diffuse iris melanoma arising from iridal melanosis.

There are two abnormal cell populations distorting the contour of the iris in this eye. Hugging the anterior iridal surface, there is a band of disorganized, small, angular, pigmented cells, with eccentric, dark, round nuclei. These cells show neither a tendency to drop off into the anterior chamber nor invade the iridal tissue. These small angular cells adherent to the anterior iris surface are typical of iridal melanosis associated with localized pigmented spots flush with the iridal surface. Extending from these lesions, there is a second population of pleomorphic, round, angular cells, with nuclear atypia, karyomegaly, and abundant, sometimes pigmented cytoplasm. These cells extend into the iridal stroma, and clusters of these cells can be seen in the anterior chamber and adjacent to the pectinate ligaments. These cells are typical of diffuse iris melanoma and probably indicate an early transformation of the melanosis lesion to feline diffuse iris melanoma.
 
Case 25-3. Eye. Within the central stroma of the iris are a few malignant melanoma cells with karyomegaly. The anterior surface of the iris (right) has a diffuse accumulation of pigmented melanocytes with small bland nuclei (iridal melanosis). 20X
AFIP Diagnoses:
1. Eye, iris: Malignant melanoma, Persian, feline.
2. Eye, anterior surface of iris: Melanosis, diffuse.

Conference Note: Conference participants noted a paucity of mitotic figures in this neoplasm when compared to other feline iridal melanomas previously examined at the AFIP. This finding may be due to the early stage of the neoplastic transformation.

The biological behavior of most primary ocular melanocytic neoplasms in the cat differs from that in the dog. In cats, Patnaik found that 62.5% of intraocular melanomas metastasized, with mandibular and submandibular lymph nodes the most common metastatic location.2 In contrast, 75 of 91 (82%) canine primary ocular melanomas were benign.3

Melanin is formed in melanocytes when the enzyme tyrosinase catalyzes the oxidation of tyrosine to dihydroxyphenylalanine. The expression of the tyrosinase gene is specific for melanocytes and melanotic tumor cells, and in situ hybridization for mRNA encoding for tyrosinase has been used to verify the melanocytic origin of amelanotic melanomas in cats.4

Contributor: School of Veterinary Medicine, University of Wisconsin, 2015 Linden Drive West, Madison, WI 53706

References:
1. Duncan DE, Peiffer RL: Morphology and prognostic indicators of anterior uveal melanomas in cats. In: Progress in Veterinary & Comparative Ophthalmology, vol. 1, no. 1, pp. 25-32, 1991.
2. Patnaik AK, Mooney S: Feline melanoma: a comparative study of ocular, oral, and dermal neoplasms. Vet Pathol 25(2):105-112, 1988.
3. Wilcock BP, Peiffer Jr. RL: Morphology and behavior of primary ocular melanomas in 91 dogs. Vet Pathol 23(4):418-424, 1986.
4. Van der Linde-Sipman JS, De Wit MML, Van Garderen E, Molenbeek RF, Van der Velde-Zimmermann D, De Weger RA: Cutaneous malignant melanomas in 57 cats: identification of (amelanotic) signet-ring and balloon cell types and verification of their origin by immunohistochemistry, electron microscopy, and in situ hybridization. Vet Pathol 34(1):31-38, 1997.

International Veterinary Pathology Slide Bank:
Laser disc frame #9460, 16857, 16858

 

Case IV - N94-284 (AFIP 2458504)

Signalment: 6-month-old, female, Holstein, bovine.

History: This was one of 40 affected animals out of a herd of 82. All affected animals were acutely dyspneic and febrile.

Gross Pathology: There were dozens of foci of parenchymal collapse. The foci were primarily in the cranioventral lung fields, and were red-brown and rubbery to firm.

Laboratory Results: Virology testing was positive for bovine respiratory syncytial virus.

Contributor's Diagnoses and Comments:
1. Lung: Marked multifocal subacute suppurative bronchitis and bronchiolitis, with epithelial syncytial cells and intracytoplasmic eosinophilic viral inclusion bodies.
2. Lung: Moderate multifocal atelectasis.

Etiology: Bovine respiratory syncytial virus (BRSV).

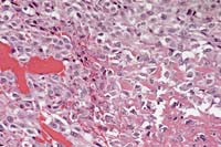
The clinical history and gross and histologic features are characteristic of the natural disease. Multifocally throughout the section, there is a marked bronchial and bronchiolar infiltrate of many neutrophils which frequently fill the lumina and infiltrate the lining epithelium. There are a few scattered admixed sloughed epithelial cells as well as syncytial epithelial cells along the bronchiolar mucosa. Occasional syncytial epithelial cells have small numbers of indistinct round to oval (~5 mm) eosinophilic viral inclusion bodies within the cytoplasm. There is moderate multifocal bronchiolar epithelial hyperplasia and scattered mild epithelial hydropic degeneration. The inflammatory infiltrate extends out into the surrounding alveolar spaces and there is mild multifocal type II pneumocyte hyperplasia.

BRSV is caused by a paramyxovirus in the genus Pneumovirus. Disease is most prevalent in older calves, often occurring in outbreaks, as was the case with this farm.
 
Case 25-4. Lung. Multinucleated syncytial cell is prominent within the bronchiole and appears to be arising from the epithelial layer. The lumen is packed with neutrophils. A few neutrophils are also transmigrating the bronchiolar wall and are in the adjacent atelectactic parenchyma. 40X
AFIP Diagnosis: Lung: Bronchopneumonia, suppurative, subacute, multifocal, moderate, with atelectasis, bronchiolar epithelial syncytia, and rare eosinophilic intracytoplasmic inclusion bodies, Holstein, bovine.

Conference Note: Bovine respiratory syncytial virus (BRSV) usually affects young cattle, 6-8 months of age, and occasionally adult cattle. Although BRSV infection in adult cattle has usually been described as asymptomatic or as having mild clinical signs, some outbreaks with severe clinical signs have been described in adult dairy cattle. Most BRSV infections occur in the fall and early winter. Herd outbreaks are characteristic, and case fatality rates may range from 1-30%. BRSV may be the sole agent involved in a respiratory disease outbreak, but co-infections with other agents as part of the enzootic pneumonia or shipping fever complexes are common. The incubation period is 5-7 days and the disease may be acute, mild, or inapparent. Most animals recover within 2 weeks of infection.

Lesions are thought to be due to a direct viral cytopathic effect on bronchial, bronchiolar, and alveolar epithelium. In the early stages of the disease, an exudative and necrotizing bronchiolitis, with bronchiololar epithelial syncytia formation, results in obstructive atelectasis of associated lung parenchyma. A subsequent accumulation of neutrophils and macrophages in bronchioles and alveoli may be the consequence of the presence of viral antigens, of necrosis, or of secondary bacterial infection.

BRSV is antigenically related to human respiratory syncytial virus (RSV), an important respiratory pathogen in children and immunocompromised patients. Other pneumoviruses of veterinary importance include mouse pneumovirus and turkey rhinotracheitis virus.

Contributor: Cornell University, Department of Pathology, New York State College of Veterinary Medicine, Ithaca, NY 14853-6401

References:
1. Dungworth DL: The respiratory system. In: Pathology of Domestic Animals, 4th ed., Jubb KVF, Kennedy PC, Palmer N (eds.), Academic Press, Inc., vol. 2, pp. 615-617, 1993.
2. Bryson DG, McNulty MS, Logan EF, Cush PF: Respiratory syncytial virus pneumonia in young calves: clinical and pathologic findings. Am J Vet Res 44:1648-1655, 1983.
3. Pirie HM, Petrie L, Pringle CR, Allan EM, Kennedy GJ: Acute fatal pneumonia in calves due to respiratory syncytial virus. Veterinary Record 108:411-416, 1981.

International Veterinary Pathology Slide Bank:
Laser disc frame #15599-15602, 22842, 22853-22845.

Terrell W. Blanchard
Major, VC, USA
Registry of Veterinary Pathology*
Department of Veterinary Pathology
Armed Forces Institute of Pathology
(202)782-2615; DSN: 662-2615
Internet: blanchard@email.afip.osd.mil

* The American Veterinary Medical Association and the American College of Veterinary Pathologists are co-sponsors of the Registry of Veterinary Pathology. The C.L. Davis Foundation also provides substantial support for the Registry.

Return to WSC Case Menu.