Results
AFIP Wednesday Slide Conference - No. 14


14 January 1998

Conference Moderator: Dr. Philip J. Snoy, Diplomate, ACVP
FDA/CBER/DVS
HFM-270
8800 Rockville Pike, Bldg. 29A
Bethesda, MD 20892

Return to WSC Case Menu.

Case I - 79067 (AFIP 2598252)

Signalment: Juvenile, male, pig-tailed macaque (Macaca nemestrina).

History: This monkey was found dead in his cage on July 15, 1996. He had been treated for dental infection and possible secondary infection, had not been eating well, and had transient diarrhea. He was currently on an SIV/HIV chimeric virus (SHIV) study. He had been inoculated with virus on December 1, 1995. This monkey had been monitored for possible secondary pneumonia as a result of a broken tooth (incisor) as the possible source of infection. Chest x-rays showed no indications of pneumonia. The broken tooth was extracted on January 18, 1996. He was started on antibiotics and analgesics/non-steroidal anti-inflammatory drugs. He was given soft biscuits, fruit and supplemental fluids. The monkey was depressed, but was still mobile in the cage and became vocal when approached.

Gross Pathology: The monkey was mildly autolytic and dehydrated and had scant body fat stores. The stomach contained fruit pulp and monkey chow. There was normal ingesta in the small intestine and cecum, and semi-formed feces in the colon. The urinary bladder contained a small amount of clear, yellow urine. The thymus was diffusely atrophied. The cranial and intermediate lung lobes were firm and consolidated. There was a tan exudate in the bronchi. Samples were taken for bacteriology and cytology. The distal trachea and mainstem bronchi contained a small amount of bloody exudate. A center incisor tooth was missing. There was no evidence of inflammation in the adjacent gingiva. Other organ systems were grossly unremarkable.

Laboratory Results: Urinalysis (Multistixâ dipstick): ketones = +1, SG = 1.020, pH = 6; other values normal.

Contributor's Diagnoses and Comments:

1. Kidney: Tubular degeneration and necrosis, multifocal, moderate, with multifocal, mild, interstitial, subacute nephritis and numerous, basophilic, intranuclear inclusions.
2. Lung: Pneumonia, interstitial, fibrinous, subacute, diffuse, severe, with type II pneumocyte hyperplasia and intraepithelial, basophilic intranuclear inclusions.

Other tissues examined:
Spleen, lymph nodes: lymphoid depletion, diffuse, moderate.
Thymus: lymphoid depletion, diffuse, severe.
Small intestine: Amyloid, villi, multifocal, mild.
Liver: Hemosiderosis, Kupffer cells, multifocal, mild.

Final Diagnosis Remarks: Pneumonia and dehydration were likely the major contributing factors to this animal's death. The renal lesion was characterized by tubular degeneration associated with hypertrophied cells containing smudgy intranuclear inclusion bodies. In the lung, there were extensive areas of interstitial and exudative pneumonia, with prominent type II pneumocyte hyperplasia and indistinct intranuclear inclusion bodies. These changes are most likely the result of infection with SV40 virus, but cytomegalovirus infection must be included as a differential. SV40 is a papovavirus which is generally latent in Asian macaques. Reactivation and clinical disease have been documented in immunocompromised animals, including those infected with SIV. SV40 can also cause encephalitis; there was no evidence of brain infection in this case. The hepatic hemosiderosis likely resulted from blood transfusions.

There are several synonyms for Simian Virus 40 infection including vacuolation agent infection, progressive multifocal leukoencephalopathy and papovaviral tubulointerstitial nephritis.

Gross lesions are subtle and have only been described in the brain, lungs, and kidneys. In the brain, multiple 1-3 mm, soft, gray-pink to translucent foci may occur in subcortical white matter, hypothalamus, medulla oblongata and adjacent to the cerebral aqueduct. SV40 induced interstitial pneumonia may be characterized by firm, red, patchy areas in the lungs, which do not collapse when compressed.

Histologically, brain lesions consist of multifocal to coalescing areas of demyelination throughout the cerebral white matter and subependymal regions. These areas are often associated with foci of microgliosis and glial nodules may be evident in overlying gray matter. Intranuclear inclusion bodies in oligodendro-gliocytes and astrocytes may be present in early lesions. Early forms of inclusions are lightly basophilic and granular and later forms are condensed and more intensely basophilic.

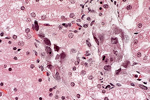
Lung lesions consist of patchy areas of interstitial pneumonia characterized by variable septal thickening due to congestion or histiocytic or fibroblast infiltration. Affected alveoli are lined by hyperplastic and hypertrophied type II pneumocytes, some of which contain intranuclear inclusion bodies.

Scattered collecting tubules in the inner cortex and medulla of the kidney are lined by hypertrophied epithelial cells containing intranuclear inclusion bodies. These necrotic lining cells desquamate into the tubular lumina and form cellular casts.

Differential diagnosis must include other viruses infecting macaques which cause intranuclear inclusion bodies. Agents to consider include adenovirus, cytomegalovirus, Herpesvirus simiae and other herpesviruses.

Natural History and Epidemiology: Simian virus 40 is a common latent infection of feral and captive Asian monkeys, especially Macaca mulatta, M. fuscata, M. cyclopis, and to a lesser extent M. fascicularis. However, SV40 rarely causes clinical illness in these species.

SV40 was originally isolated from normal appearing rhesus and cynomolgus kidney cell cultures and from seed stocks of poliovirus and several strains of adenovirus grown in these cell cultures for human vaccine production. Although SV40 replicates to high titer in kidney cell cultures, the cells show no cytopathic effect. However, when SV40-infected cell culture medium is used to inoculate cultures of African green monkey kidney cells, these cells develop prominent cytoplasmic vacuolization. This observation led to the original designation of SV40 as "vacuolating agent" or "vacuolating virus". SV40 is not a significant cause of clinical illness in macaques, with the only reported cases of active SV40 infection involving monkeys with suspected or confirmed immune dysfunction. In at least two reports, the cause of the immune compromise resulting in reactivation of latent SV40 infection in these monkeys has been confirmed as simian immunodeficiency virus (SIV) infection.

Etiology: Simian virus 40 is a 45 nm, unenveloped, icosahedral, DNA-containing virus in the subfamily Polyomavirinae, family Papovaviridae. The virus genome contains early and late coding regions and a non-coding regulatory region. The early region encodes for two DNA binding proteins, referred to as large and small T (tumor) antigens. T antigens bind to the viral regulatory sequences to facilitate transcription of the late viral genes. The late genes encode for three capsid proteins which contain genus-specific antigens. The virus transforms a variety of rodent cells in vitro and is oncogenic in several rodent species in vivo.

Pathogenesis: Natural transmission of SV40 infection in macaques is thought to occur via the respiratory route. Rhesus and African green monkeys have been experimentally infected via intranasal, intragastric and subcutaneous routes. Experimental inoculation did not cause clinical illness, but a number of animals developed azotemia and red blood cell casts in their urine, indicating mild, transient impairment of renal function. SV40 is excreted in high concentrations in the urine and infected urine may serve as the principal source of infections of susceptible animals. During the first week of infection, animals become viremic. Neutralizing antibodies occur in the blood 21 days post-infection and in the urine by 9 weeks post-infection. The virus then enters a latent state, persisting in renal epithelium indefinitely. Latent infections may reactivate if the host immune response is impaired, with the possible development of lesions in the brain, lungs and kidneys.

Comparison with other species: SV40 induces a wide variety of tumors when inoculated into hamsters. The type of tumor induced varies depending on the dose and route of inoculation of the virus. Tumors have also been experimentally induced in mice when inoculated with the virus.

A high percentage of people harbor one or two papovaviruses related to SV40 which have been associated with clinical disease in immune compromised patients. These agents, referred to as JC and BK viruses, are acquired during childhood, presumably as a mild, subclinical respiratory infection. Following this primary infection, the viruses become latent in the kidneys. In immune compromised patients, JC virus may become reactivated and cause the demyelinating disease, progressive multifocal leukoencephalopathy. Reactivated latent BK virus infection has been associated with kidney infection in renal transplant patients and with cystitis in patients receiving bone marrow transplants. In addition, BK virus genomic sequences have been associated with pancreatic islet cell tumors, various brain tumors and Kaposi's sarcoma, but its role in induction of these tumors has not been established.
 
Case 14-1a. Lung. Mixed leukocytes and fibrin expand the interstitium with serofibrinous exudate and alveoli contain sloughing type II pneumocytes with diffuse basophilic nuclear inclusions. 40X
Case 14-1b. Kidney. Cortical tubule epithelium is necrotic and often contains basophilic nuclear inclusions. 40X
AFIP Diagnoses:
1. Lung: Pneumonia, interstitial, subacute, diffuse, moderate, with type II pneumocyte hyperplasia and intranuclear amphophilic to basophilic inclusion bodies, pig-tailed macaque (Macaca nemestrina), primate.
2. Kidney, tubules: Degeneration, necrosis, and regeneration, multifocal, with cellular casts and intranuclear amphophilic to basophilic inclusion bodies.
3. Kidney: Nephritis, interstitial, chronic, multifocal, minimal.

Conference Note: Several conference participants considered Pneumocystis carinii in the differential diagnosis of the pulmonary lesion; however, no special stains were available.

Contributor: FDA/CBER/DVS, HFM-270, Bldg. 29A, Rm. 1A-17, 1401 Rockville Pike, Rockville, MD 20852-1448

References:

1. King NW: Simian virus 40 infection. In: Nonhuman Primates I, Jones TC, Mohr U, Hunt RD (eds.), pp. 37-42, Springer-Verlag, 1993.
2. Horvath CJ, Simon MA, Bergsagel DJ, Pauley DR, King NW, Garcea RL, Ringler DJ: Simian virus 40-induced disease in rhesus monkeys with simian acquired immunodeficiency syndrome. Am J Path 140(6):1431-1439, 1992.
3. Sheffield WD, Strandberg JD, Braun L, Shah E, Kalter SS: Simian virus 40-associated fatal interstitial pneumonia and renal tubular necrosis in a rhesus monkey. Journ of Infect Dis 142(4):618-621, 1980.

 

Case II - CP-96-321 (AFIP 2595775)

Signalment: 2.5-week-old, C57BL/6, male mouse.

History: This mouse was one of an entire litter reported with alopecia over the back and axillary region. This litter was housed in a colony with a history of MHV (mouse hepatitis virus) and EDIM (epizootic diarrhea of infant mice).

Gross Pathology: Other than alopecia over the dorsal back and axillary region, no gross lesions were found.

Laboratory Results: ELISA and IFA serology tests were negative for MHV and positive for EDIM. Fur plucks were negative for mites and negative for fungal pathogens.

Contributor's Diagnoses and Comments:

1. Diffuse, superficial ballooning degeneration of small intestinal epithelium.
2. Multifocal, mild, acute perifollicular dermatitis [tissue not submitted for conference].

Etiology: Murine Rotavirus

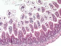
Murine rotavirus is an RNA virus in the family Reoviridae. This virus replicates in the epithelial cells of the small intestine and causes the diarrheal disease EDIM (epizootic diarrhea of infant mice). All ages of mice are susceptible to infection, but clinical disease is seen only in mice 7 to 14 days of age. Disease is characterized by mucoid yellow diarrhea. Affected animals may be stunted but continue to nurse. This disease is associated with high morbidity but low mortality. Microscopically, lesions are restricted to the tips of the small intestinal villi and consist of vacuolization and swelling of epithelial cells. Inflammation is minimal or absent. Vascular congestion and lymphatic dilation may also be present. The virus is spread by the fecal-oral route and there is no evidence of transplacental infection.

Other causes of diarrhea in infant mice include enteric mouse hepatitis virus (MHV), reovirus type 3, Salmonella sp., and Spironucleus muris. This litter was from a colony that had a prior history of MHV and EDIM. In this case, the lack of clinical signs, the restriction of microscopic lesions to the villous tips, and the lack of syncytial cells are findings which are more consistent with EDIM than MHV. The rest of the litter remained asymptomatic. The cause of the hair loss was not determined, but on weaning the haircoat returned to normal. This may indicate the cause of hair loss was excessive grooming by the mother with resultant mild secondary inflammation.
 
Case 14-2. Intestine. Diffuse vacuolar degeneration of the villus tip enterocytes. 20X
AFIP Diagnosis: Small intestine, villar tips, enterocytes: Vacuolar degeneration, diffuse, moderate, C57BL/6 mouse, murine, etiology consistent with murine rotavirus.

Conference Note: Susceptibility to rotaviral infection is primarily related to mucosal epithelial turnover kinetics, not the host's immune status. Therefore, adult SCID mice, like immunocompetent mice, do not develop lesions or clinical disease when infected with rotavirus. In neonatal mice, however, both passively and actively acquired immunity are thought to be important in host defense mechanisms. Neonatal athymic (nu/nu) mice experimentally infected with murine rotavirus experience a self-limiting infection identical to that seen in age-matched immunocompetent mice. In contrast, neonatal SCID mice have a higher percentage of enterocytes infected, achieve greater concentrations of virus in intestinal epithelium, shed higher concentrations of virus for longer periods of time in the feces, and remain persistently infected.1

Contributor: Division of Comparative Medicine, University of Texas, Southwestern Medical Center at Dallas, 5323 Harry Hines Blvd., Dallas, TX 75235-9072

References:

1. Committee on Infectious Diseases of Mice and Rats, Institute of Laboratory Animal Resources. Infectious Diseases of Mice and Rats, pp. 111-116, National Academy Press, Washington, D.C., 1991.
2. Foster HL, Small JD, Fox JG, eds.: The Mouse in Biomedical Research, vol. 2, pp. 160-167, Academic Press, New York, 1982.
3. Fox JG, Bennet JC, Loew FM, eds.: Laboratory Animal Medicine, pp. 67-68, Academic Press, New York, 1984.
4. Jones TC, Mohr U, Hunt RD, eds.: Digestive System. Monographs on Pathology of Laboratory Animals, pp. 321-325, Springer-Verlag, New York, 1985.
5. Waggie K, Kagiyama N, Allen AM, Nomura T: Manual of Microbiologic Monitoring of Laboratory Animals, 2nd ed., pp. 101-106, National Institutes of Health, NIH publication No. 94-2498, 1994.

International Veterinary Pathology Slide Bank:
Laser disc frame #10149, 13527, 16052, 16267-9.

 

Case III - 79066 (AFIP 2598235)

Signalment: Adult, male, rhesus monkey.

History: This monkey was experimentally infected with SIV on July 1, 1995. He was on a protocol for treatment with human chorionic gonadotropin (HCG) to monitor the effect of HCG on the immune system. This animal began showing signs of neurological involvement approximately 10 days prior to death.

Gross Pathology: The animal was moderately dehydrated with scant body fat stores. A sample of clear, straw-colored cerebrospinal fluid was taken from the cisterna magna for bacterial culture and cytology. All lymph nodes were enlarged 5-15 times normal size. The spleen was 1.5 times normal size with prominent lymphoid follicles. There were multiple, elongate yellow plaques on the esophageal mucosa and a sample was taken for fungal culture. There were similar plaques on the mucosa of the body of the stomach, 2-4 mm in diameter. The stomach was empty. There was a small amount of fluid in the small intestine, and a small amount of normal ingesta in the cecum. The colon was distended by yellow fluid contents. Other organ systems were grossly unremarkable.

Contributor's Diagnosis and Comments:
Brain, cerebrum: Meningoencephalitis, histiocytic and lymphocytic, multifocal, mild with diffuse, moderate white matter spongiosis.

Occasional cytomegalic cells were found associated with the marked suppurative neuritis affecting the spinal nerves; presumably this lesion is the result of cytomegalovirus infection. In the optic nerves there was mild to severe perivascular necrosis, with infiltration of macrophages and neutrophils, reactive neurolemmocytes, and rare multinucleated syncytial cells. The perivascular infiltration of macrophages and few lymphocytes found in the brain is a characteristic lesion of SIV in macaques. Rare syncytial cells were seen. The vacuolar change throughout the white tracts of the brain is likely due to axonal degeneration, possibly secondary to the cord lesions. There was spinal myelitis similar to, but more necrotizing than, the lesion in the brain. It consisted of parenchymal necrosis and axonal degeneration, with infiltrates of large foamy macrophages and neutrophils. Careful scrutiny and special stains failed to demonstrate an etiologic agent. The lesions in the brain, optic nerves and spinal cord are presumed to reflect direct cytopathic effects of SIV. A pneumonia was seen consistent with that attributed to SIV; again special stains failed to demonstrate etiologic agents. Lymph node hypertophy and necrosis was striking; this again was apparently due to direct SIV effects. In the liver, the lymphoid infiltrates included large blastic cells and cells containing mitotic figures. This and lymphoid infiltrates in other organs may represent SIV-induced lymphoid proliferation. A vasculopathy noted in several organs may be due to direct effects of SIV on endothelial cells. Esophageal and gastric candidiasis was seen, likely the result of SIV-induced immunosuppression. The colitis is likely also due to SIV infection.

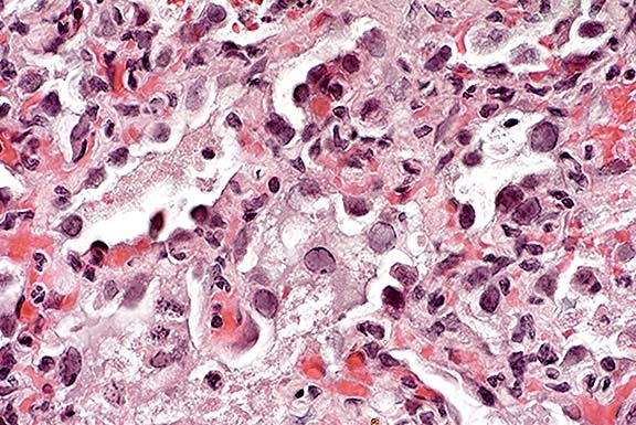
Microscopic Findings: Approximately 50% of rhesus monkeys experimentally infected with SIVMAC develop a characteristic meningoencephalitis which resembles the encephalopathy which occurs in a high percentage of human patients with acquired immunodeficiency syndrome. For unknown reasons, this lesion has not been observed in rhesus with colony-acquired SIV infection. Lesions are seen in the gray and white matter of the brain and spinal cord, but white matter is most commonly affected. The meninges and choroid plexuses are less commonly affected. The lesions are characterized by multifocal perivascular infiltrates of finely vacuolated macrophages and multinucleate giant cells throughout the cerebrum, cerebellum, brain stem and spinal cord. Occasional lesions may contain low numbers of neutrophils or lymphocytes. Mild myelin loss may be observed around these lesions. There may be scattered glial nodules throughout affected brains. The leptomeninges and choroid plexus may be infiltrated by histiocytes, giant cells and varying numbers of fibroblasts. SIV viral particles are present within cytoplasmic vacuoles of the histiocytes and giant cells. SIV RNA has been identified by in situ hybridization in histiocytes and giant cells and rarely in glial cells.

Natural History: Naturally occurring infections in native nonhuman primate populations have been reported only in African species in which they exist commonly as persistent infections unassociated with clinical disease. Although several Asian species of the genus Macaca are highly susceptible to and die from experimental or colony-acquired SIV infection, the virus has not been found in natural populations of these species.

The mode of transmission of SIV among natural populations and captive colonies of nonhuman primates has not been established. Because SIV viruses are readily transmissible experimentally by infected blood or serum, it is assumed that transmission occurs via bite wounds contaminated by infected blood. Transplacental transmission has been documented in a rhesus monkey with a naturally acquired infection, but has not been proven in experimental infections. SIV has been experimentally transmitted via the genital mucosal route. It is likely that colony spread may occur through the reuse of contaminated hypodermic needles.

Clinical Findings: Clinical signs and course of SIV vary according to virus strain and the nature of opportunistic infections. A maculopapular rash is often observed on the less haired portions of the body during the first 6-8 weeks of infections and it may persist for variable periods of time thereafter. Lymphadenopathy of axillary and inguinal lymph nodes is common early in the course of disease. It may persist until death in those animals that die early, but usually subsides in animals with a more prolonged disease course. The most consistent hematologic abnormality is a reduction in the number of CD4+ lymphocytes in the peripheral blood and measurement of absolute numbers of CD4+ lymphocytes is a useful prognostic test. A progressive decline in the number of CD4+ lymphocytes occurs just prior to the onset of clinical deterioration. The clinical course of disease may be quite variable, even among animals infected with the same virus strain.

Pathogenesis: SIV viruses have marked tropism for cells expressing the CD4 molecule on their cell surface. The virus enters cells through the interaction of the viral envelope protein, gp120 and the CD4 molecule which serves as the viral protein receptor. Once inside the cell, the polymerase, reverse transcriptase, transcribes viral RNA into DNA which is incorporated into the cellular genomic DNA. Transcription of this proviral DNA results in progeny virus which buds primarily from the surface of infected lymphocytes and into cytoplasmic vacuoles in infected macrophages. In animals in which the virus causes fatal disease, there is a profound drop in the number of CD4+ lymphocytes resulting in severe immune dysfunction and death from opportunistic infections or lymphoma.

Etiology: The eight different SIV isolates from various nonhuman primate species are classified in the subfamily Lentivirinae, family Retroviridae. These isolates have variable homology with the two human lentiviruses, HIV-1 and HIV-2, the etiologic agents of human AIDS. The different SIV isolates are designated by a three-letter subscripted suffix indicating the species from which they were originally isolated. They include: SIVMAC from rhesus monkeys (Macaca mulatta); SIVSMM from sooty mangabeys (Cercocebus atys); SIVMNE from pig-tailed macaques (Macaca nemestrina); SIVSTM from stump-tailed macaques (Macaca arctoides); SIVAGM from African green monkeys (Cercopithecus aethiops); SIVMND from mandrills (Mandrillus sphinx); SIVCMZ from chimpanzees (Pan troglodytes): and SIVSYK from Sykes' monkeys (Cercopithecus mitis).
 
Case 14-3a. Cerebrum. Shows a nest of multinucleated cells in the deep cortex. 40X
Case 14-3b. Cerebrum. Demonstrates variably sized vacuoles in the neuropil. 20X
AFIP Diagnosis: Brain, cerebrum: Meningoencephalitis, histiocytic, perivascular, multifocal, mild, with multinucleated giant histiocytic cells and diffuse moderate white matter spongiosis, rhesus monkey (Macaca mulatta), primate.

Conference Note: Similarities between SIV-induced disease in macaques and HIV-induced disease in humans make the macaque an extremely important model for the study of AIDS. However, the clinical course of the diseases differs in an important way. HIV-induced disease in humans evolves over a period of years to decades following infection, whereas SIV-infected rhesus monkeys usually die within 2 years postinfection. About one-third of infected animals develop a very rapidly progressive disease leading to death within a few months of virus inoculation. The remaining two-thirds develop a more slowly progressive disease course leading to death in 1-2 years.5 In addition to lesions attributable to direct viral effects, as described by the contributor, secondary infections commonly contribute significantly to morbidity and mortality. These agents include Pneumocystis carinii, Cryptosporidium spp., SV40, Mycobacterium spp., cytomegalovirus, adenovirus, Giardia spp., Candida, Trichomonas, and the recently described microsporidian Enterocytozoon bieneusi.

Contributor: FDA/CBER/DVS, HFM-270, Bldg. 29-A, Rm. 1A-17, 1401 Rockville Pike, Rockville, MD 20852-1448

References:

1. Narayan O, Joag SV, Stephens EB: Selected models of HIV-induced neurological disease. Curr Top Microbiol Immunol 202:151-66, 1995.
2. Gardner MB, Dandekar S: Neurobiology of simian and feline immunodeficiency virus infections. Curr Top Microbiol Immunol 202:135-50, 1995.
3. Lackner AA: Pathology of simian immunodeficiency virus induced disease. Curr Top Microbiol Immunol 188:35-64, 1994.
4. King NW: Simian immunodeficiency virus infections. In: Nonhuman
Primates I, Jones TC, Mohr U, Hunt RD, eds., pp. 5-20, Springer-Verlag, 1993.
5. Letvin NL, King NW: Immunologic and pathologic manifestations of the infection of rhesus monkeys with simian immunodeficiency virus of macaques. Journal of Acquired Immune Deficiency Syndromes 3(11):1023-1040, 1990.
6. King NW, Chalifoux LV, Ringler DJ, Wyand MS, Sehgal PK, Daniel MD, Letvin NL, Desrosiers RC, Blake BJ, Hunt RD: Comparative biology of natural and experimental SIVMAC infection in macaque monkeys: a review. J Med Primatol 19:109-118, 1990.

 

Case IV - CHIEN RIEN (AFIP 2596251)

Signalment: Approximately 18-month-old, male, Beagle.

History: This dog was used in a chronic (1 year) toxicology study. There were no clinical signs during the course of the study.

Gross Pathology: The right kidney was missing [agenesis]. The left kidney was enlarged, with pale yellowish cortex and sand-like pinpoint discoloration in the cortex.

Laboratory Results:

Blood biochemistry: Creatinine (mg/dl): 5.52 (D7); 5.51 (D90); 6.66 (D181);
8.43 (D365)
BUN (mg/dl): 85 (D7); 93 (D90); 91 (D181); 99 (D365)
Urinalysis: Urinary volume (ml): 111 (D1); 160 (D86); 260 (D177); 900 (D363)
Density: 1.01 (D363)
Protein (mg/dl): traces (D1); traces (D86); 30 (D177); 30 (D363)

(D is for day of study)

Contributor's Diagnoses and Comments: Glomerular lipidosis, segmental to diffuse, multifocal, marked; tubulo-interstitial nephritis, chronic, multifocal, moderate.

Changes observed in glomeruli (enlargement, dilation of glomerular tufts and mesangial spaces by foamy cells presenting microvacuoles and macrovacuoles) are consistent with glomerular lipidosis. The pattern observed is segmental or total, and diffuse, since almost all glomeruli exhibited minimal to marked Sudan black positivity on frozen sections. On semi-thin sections, glomerular tufts were enlarged, mesangial and pericapillary spaces being filled with large foamy cells showing irregular nucleus, cytoplasmic empty vacuoles, or large vacuoles with light blue content, and dark granules in the cytoplasm. Ultrastructurally, enlarged cells presented small to large empty vacuoles not membrane-bound, protein droplets, filamentous material under the membrane, and irregular outlines with projections into the mesangial matrix. Capillaries appeared spared on semi-thin and EM examination. EM observations made in this case are indicative of mesangial origin, which is consistent with several literature reports, 1,2,6 although some authors indicate endothelial origin. This lesion was associated with slight increases in BUN and creatinine, that may be related to the large extent of the lesion, while most cases reported in the literature only show up to 20% of glomeruli affected, without functional disturbances.2 Global incidence in beagle dogs is about 4%.2 There is no mention in the literature of a human counterpart to this lesion. This lesion differs from the rare human "lipoprotein glomerulopathy" associated with type III hyperlipoproteinemia and causing nephrotic syndrome, in which capillaries are involved as well as mesangium.4,5
 
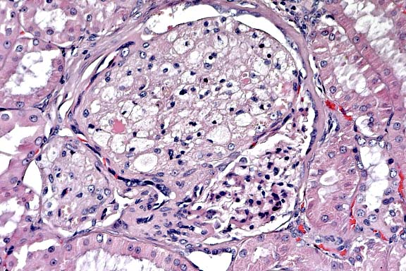
Case 14-4. Kidney. Foamy lipid-containing mesangial cells are expanding the glomerulus. The Bowman's capsule is moderately thickened and fibrotic, forming synechia between the capsule and the glomerular tuft. 20X
AFIP Diagnosis: Kidney: Glomerular lipidosis, segmental to global, diffuse, severe, with moderate periglomerular fibrosis and chronic interstitial nephritis, Beagle, canine.

Conference Note: Conference participants agreed that the extent of the glomerular lipidosis in this case is striking. The clinical chemistry values indicate progressive loss of renal function (markedly increased serum creatinine, mildly increased blood urea nitrogen, proteinuria, and isosthenuria on Day 363). These changes are not anticipated from uncomplicated glomerular lipidosis. Further, glomerular lipidosis would not be expected to cause the chronic inflammatory changes present in this kidney, i.e. lymphoplasmacytic interstitial infiltrates and extensive periglomerular fibrosis. These chronic changes are often seen in mature dogs, and the etiology is usually unknown.

Upon recent communication with the contributor, it was noted that this dog had been administered an intermediate dosage of a neurotropic substance. This was the only dog in the study that developed glomerular lipidosis. The changes were not considered compound-related.

Contributor: Sanofi Research, 9 Great Valley Parkway, P.O. Box 3026, Malvern, PA 19355.

References:

1. Thiel W, Hartig F, Frese K: Glomerular lipidosis in the dog. Exp Path 19:154-160, 1981.
2. Zayed I, Gopinath C, Hornstra HW, Spit BJ, Heidjen CA: A light and electron microscopical study of glomerular lipidosis in beagle dogs. J Comp Path 86:509-517, 1978.
3. McCullagh K, Ehrhart LA: Non-arteriosclerotic lesions in the kidney of dogs fed an atherogenic diet. Exp & Mol Pathol 22:400-416, 1975.
4. Zhang P, Matalon R, Kaplan L, Kumar A, Gallo G: Lipoprotein glomerulopathy: first report in a Chinese male. Am Journ of Kidney Diseases 24(6):942-950, 1994.
5. Meyrier A, Dairou F, Callard P, Mougenot BL Lipoprotein glomerulopathy; first case in a white European. Nephrol Dial Transplant 10:546-549, 1995.
6. Maxie MG: The urinary system. IN: Pathology of Domestic Animals, 4th ed., vol. 2, pp. 486-7, Academic Press, San Diego, 1993.

Terrell W. Blanchard
Major, VC, USA
Registry of Veterinary Pathology*
Department of Veterinary Pathology
Armed Forces Institute of Pathology
(202)782-2615; DSN: 662-2615
Internet: blanchard@email.afip.osd.mil

* The American Veterinary Medical Association and the American College of Veterinary Pathologists are co-sponsors of the Registry of Veterinary Pathology. The C.L. Davis Foundation also provides substantial support for the Registry.

Return to WSC Case Menu.