Results
AFIP Wednesday Slide Conference - No. 11

17 Dec 1997

Conference Moderator: LTC Michael J. Topper
Walter Reed Army Institute of Research
Division of Pathology
Washington, D.C. 20307

Return to WSC Case Menu.

Case I - 97-5000 (AFIP 2594818)

Signalment: 1-year-old, female, sheep.

History: This animal was in good condition at the time of slaughter.

Gross Pathology: There were several ovoid white nodules (5-6 mm) projecting from the esophageal muscle.

Contributor's Diagnosis and Comments: Sarcocysts in esophageal muscle.
Cause: Sarcocystis gigantea (ovifelis).

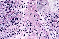
There were macrocysts and few microcysts of Sarcocystis in esophageal striated muscle fibers. Intact sarcocysts did not incite an inflammatory reaction. Some degenerated cysts were, however, surrounded by macrophages, epithelioid cells, lymphocytes and collagen. There are four species of Sarcocystis in sheep. Two of them are non-pathogenic macrocyst species producing grossly visible cysts in muscles, particularly in the striated esophageal musculature. They are Sarcocystis medusiformis and Sarcocystis ovifelis, which have a sheep-cat cycle. The two microcysts species that are potentially pathogenic are S. arieticanis and S. tenella, which have a sheep-dog cycle. The microcysts are found in esophageal and skeletal muscles, myocardium and brain.
 

Case 11-1. Esophagus. Sarcocystis gigantea with numerous bradyzoites in muscle layer. A smaller cyst (immature or another species) is adjacent to the larger one and the muscle fiber can be identified. 2X

AFIP Diagnosis: Esophagus, tunica muscularis, skeletal muscle: Protozoal cysts, multiple, with mild multifocal lymphoplasmacytic to granulomatous myositis, breed unspecified, ovine, etiology consistent with Sarcocystis gigantea.

Conference Note: As noted by the contributor, some of the sections viewed in conference contained a degenerate cyst surrounded by granulomatous inflammation.

Over 90 species of Sarcocystis have been recognized in mammals, birds, and reptiles, and at least 14 of these are regularly found in muscle of domestic animals.2 Often clinical disease does not occur. The severity of clinical signs varies with the species of parasite, the age of the infected animal, and the number of sporocysts ingested. In lambs experimentally infected with varying doses of S. tenella, effects included anemia, anorexia, decreased weight gain, fever, and death.1 Spontaneous sarcocystosis in sheep can present as a neurological disorder, affecting up to 10% of a flock. Affected sheep show muscle weakness, hindlimb paresis, and ataxia; some become recumbent, and occasionally sheep die without any premonitory signs.1

All Sarcocystis species have an obligatory two-host life cycle. Definitive hosts are carnivores, which are usually clinically unaffected. They prey on the herbivorous intermediate hosts. Upon being ingested by carnivores and released from mature cysts, zoites invade the intestinal epithelium and develop into gamonts. Fertilization occurs, followed by the formation of oocysts, which sporulate within the carnivore's intestine. These infective oocysts are shed in the feces. Susceptible herbivores then ingest oocysts or sporocysts, and sporozoites are released in the intestine and migrate into arterioles, where first generation merogony occurs in endothelial cells. Merozoites released from these meronts undergo second generation merogony in capillary endothelium throughout the body. Upon subsequent liberation, these merozoites enter circulating mononuclear cells and undergo endodyogeny (third generation merogony). Finally, zoites from second and third generation meronts enter the heart, skeletal muscle, or neural tissue (varies with species) and develop into immature noninfective sarcocysts containing unicellular metrocytes. These metrocytes produce bradyzoites that are infective for the definitive host, and whose presence characterizes a mature sarcocyst.3

Contributor: Department of Pathology and Microbiology, Faculty of Veterinary Medicine, University of Montreal, P.O. Box 5000, St. Hyacinthe, (Quebec), Canada J2S 7C6

References:

1. Jeffrey M: Sarcocystosis in sheep. In Practice, Jan 93:2-7.
2. Hulland TJ: Muscle and Tendon. In: Pathology of Domestic Animals, 4th edition, Academic Press, Inc., San Diego, CA, Jubb KVF, Kennedy PC, Palmer N, eds., vol. 1, pp. 256-259, 1993.
3. Gardiner CH, Fayer R, Dubey JP: An Atlas of Protozoan Parasites in Animal Tissues, USDA-ARS, Agriculture Handbook No. 651, pp. 40-45, 1988.

International Veterinary Pathology Slide Bank:
Laser disc frame #13666-68, 13677, 15217, 21461

 

Case II - A96-323 (AFIP 2593931); one photo

Signalment: 35-year-old, male, chimpanzee (Pan troglodytes).

History: This animal was owned by a local private zoo, euthanized and presented for necropsy with history of chronic intermittent diarrhea and recent severe anorexia and weight loss that was nonresponsive to therapy.

Gross Pathology: The postmortem interval was 12-15 hours. There was minimal subcutaneous and intra-abdominal adipose tissue. There was moderate and diffuse mesenteric and visceral lymph node enlargement. There were 10-20 multifocal 0.2-2.5 cm, white, raised papillary foci within the proximal duodenum. The pancreas was small and firm. The duodenal and proximal to midjejunal mucosa was thickened and segmentally reddened. The distal colonic mucosa was segmentally reddened. The liver was friable and had a slightly increased lobular pattern. The gallbladder was moderately distended and the contents were opaque. The kidneys were unremarkable. There was moderate to marked generalized muscle atrophy.

Laboratory Results:

4 days ante mortem 1 day ante mortem Human Male* Units


CHEM PANEL

Glucose 79 77 65-120 mg/dl
BUN 87 90 8-25 mg/dl
Creatinine 12.3 14.0 0.4-1.5 mg/dl
Phosphorus 6.8 5.1 2.5-4.5 mg/dl
Calcium 8.2 8.1 8.5-10.5 mg/dl
Total Prot. 8.0 6.4 6.0-8.0 g/dl
Albumin 3.4 2.5 3.5-5.1 g/dl
Globulin 4.6 3.9 1.0-3.5 g/dl
A/G 0.7 0.6 1.5-3.5
Sodium 132 132 135-145 mEq/L
Chloride 92 98 96-110 mEq/L
Potassium 3.9 2.1 -- mEq/L
CO2 19 16 20-30 mEq/L
AGAP 21.0 18.0 --
Tot. Bili. 0.90 0.35 0.01-1.20 mg/dl
Alk. Phos. -- 205 30-115 IU/L
GGT -- 12 0.0-41 IU/L
ALT 143 201 0-55 IU/L
AST 264 744 3.5-5.2 IU/L
LDH 2027 1620 110-225 IU/l
Cholesterol 279 196 100-200 mg/dl
Triglyceride 322 239 50-190 mg/dl
Amylase 9 8 15-105 IU/L
Na/K 34 63 --

CBC

 Parameter 4d b/f death 1d b/f death Normal Range 
 WBC   14.3  11.1   3.9-10.6 x 103/ul
 RBC  5.61  4.77 4.4-5.9 x 106ul 
Hemoglobin   13.9  12.2 13.3-17.7 g/dl 
 Hematocrit  45  42 39.8-52.2 % 
MCV   81.2  76.7 81-100 fl 
 MCH  24.8  25.6 26.6-33.8 pg 
MCHC  30.9   25.6 31.5-36.3 g/dl 
 Seg. Neut. 9.724 (68%)   7.548 (68%) 1-8-7.0 x 103/ul 
Band Neut.  1.143 (1%)   -- 0.0-0.7 x 103/ul 
 Lymp.  3.289 (23%)  2.775 (25%) 1.1-4.8 x 103/ul 
 Mono. 0.715 (5%)  0.555 (5%)  0.0-0.8 x 103/ul 
Eosino.   0.429 (3%) 0.222 (2%)  0.0-0.4 x 103/ul 

 Platelets adequate clumped but adequate adequate


Comment: moderate lipemia slight hemolysis
moderate hemolysis slight poikilocytosis
rouleaux present slight anisocytosis

*Upper and lower reference limits for adult male human

Direct fecal exam: No parasites seen
Fecal Giardia ELISA test: Negative
Fecal aerobic culture: No Salmonella, Shigella, or Campylobacter species isolated.
Fecal anaerobic culture: No Clostridium species isolated.

Contributor's Diagnosis and Comments: Pancreas: Severe chronic diffuse pancreatic exocrine atrophy and fibrosis.

Additional diagnoses (tissue not provided):
Skeletal Muscle: Moderate chronic multifocal muscle fiber atrophy.
Duodenum: Multiple adenomatous polyps.
Intestine: Moderate chronic multifocal eosinophilic enteritis with intralesional nematodes (Enterobius vermicularis)
Liver/Gallbladder: Mild chronic diffuse lymphocytic and plasmacytic cholangitis.
Moderate multifocal hepatocellular fatty change.
Kidney: Mild chronic multifocal interstitial nephritis.
Heart: Moderate chronic multifocal myocardial fibrosis.

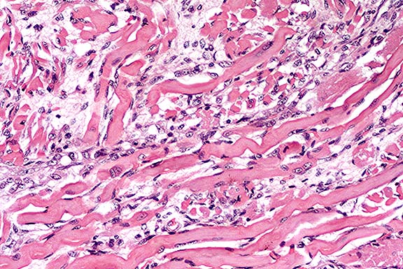
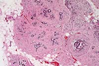
Histologic examination of the pancreas revealed diffuse acinar cell atrophy and loss. The remaining pancreas is composed primarily of variably sized aggregates of islet cells intermixed with pancreatic ducts surrounded by a moderately cellular fibrous connective tissue. There are a few scattered foci of fat necrosis and variable scattered collections of lymphocytes and plasma cells. The diffuse atrophy and fibrosis are most likely sequelae to chronic pancreatitis.

The clinical pathologic findings of a marked increase in serum creatinine, phosphorus, and BUN in the presence of a slight metabolic acidosis are suggestive of significant renal disease; however, the histologic findings indicate only mild renal disease. The azotemia is presumed to be predominantly prerenal and a result of decreased renal perfusion. The marked elevation in creatinine is out of proportion to the elevation in BUN and in the absence of significant renal disease may be a result of the lipemia and/or hemolysis, or may be further falsely increased because of noncreatinine chromogens such as ketones from the massive protein catabolism. The observed cardiac fibrosis suggests that cardiac output may have been altered and may have contributed to the reduction in renal perfusion. The very low amylase may reflect the massive loss of acinar tissue.

Chronic pancreatitis can have a variable presentation and most dogs and cats have a history of chronic weight loss in the presence of a vigorous appetite. In humans it can present as repeated attacks of mild to moderately severe abdominal pain or persistent and intractable abdominal pain. In some cases the local disease may be clinically silent until either exocrine pancreatic insufficiency (EPI) or diabetes develops. There are no consistent hematologic or serum chemistry profile changes in EPI; the serum amylase and lipase values are frequently within normal ranges, and undigested fats are not consistently found in the feces; thus the diagnosis of chronic pancreatitis requires a high index of suspicion. The definitive test for EPI in dogs and cats is to measure serum trypsin-like immunoreactivity.

The pathogenesis of chronic pancreatitis is varied, and the distinction between acute and chronic pancreatitis remains blurred. Some inciting causes of pancreatitis in humans include alcoholism, biliary tract disease, hypercalcemia, hyperlipidemia, pancreas divisum (anomalous ductal system and stenosis of the duodenal papilla), familial and hereditary factors.
 
Case 11-2. Pancreas. Diffuse atrophy and fibrosis of the exocrine glands.
AFIP Diagnoses:
1. Pancreas: Atrophy, exocrine tissue, diffuse, severe, with fibrosis and minimal multifocal lymphocytic pancreatitis, chimpanzee (Pan troglodytes), primate.
2. Peripancreatic adipose tissue: Necrosis, multifocal.

Conference Note: As the contributor noted, measurement of trypsin-like immunoreactivity (TLI) has become established as the method of choice for diagnosing exocrine pancreatic insufficiency (EPI) in the dog. This test measures trypsinogen, which is synthesized exclusively by the pancreas. The serum level depends on pancreatic mass, so pancreatic atrophy leads to reduced serum levels. In cats, recent studies have demonstrated decreased serum TLI with EPI; however, diagnostic criteria have not been established for this species.5 False-negative results for EPI can occur with concurrent pancreatitis and with renal failure.4

Other serum tests sometimes used to diagnose EPI include the BT-PABA test and measurements of cobalamin and folate. In EPI, folate is increased and cobalamin is decreased. However, false positive results can occur due to bacterial overgrowth, which causes a similar change in levels of these vitamins. With severe, diffuse small intestinal disease, both values are decreased.4 The BT-PABA test indirectly measures chymotrypsin levels, which are decreased in cases of EPI.

Contributor: Department of Comparative Pathology, New England Regional Primate Research Center, Harvard Medical School, One Pine Hill Drive, P. O. Box 9102, Southborough, MA 01772

References:
1. Willard MD: Gastrointestinal, Pancreatic, and Hepatic Disorders. In: Small Animal Clinical Diagnosis by Laboratory Methods, Willard MD, Tvedten H, Turnwald GH, W. B. Saunders, Philadelphia, PA, pp. 189-228, 1989.
2. Crawford JM, Cotran RS: The Exocrine Pancreas. In: Robbins Pathologic Basis of Disease, 5th edition, Cotran RS, Kumar V, Robbins SL, eds., W. B. Saunders, Philadelphia, PA, pp. 902-904, 1994.
3. Nelson RW, Couto CG: Essentials of Small Animal Internal Medicine. Mosby Year Book, Boston, pp. 439-443, 1992.
4. Duncan JR, Prasse KW, Mahaffey EA: Veterinary Laboratory Medicine, 3rd edition, Iowa State University Press, Ames, IA, pp. 152-159, 1994.
5. Steiner JM, Williams DA: Feline exocrine pancreatic disorders: insufficiency, neoplasia, and uncommon conditions. Comp Cont Ed Pract Vet 19(7):836-849, 1997.

International Veterinary Pathology Slide Bank:
Laser disc frame #6581-2, 6627-8.

 

Case III - 96-2966 (AFIP 2594687)

Signalment: 3-day-old, male, Golden Retriever cross, dog (Canis familiaris)

History: The pup was one of 8 in a litter from a Golden Retriever cross bitch, heterozygous for Golden Retriever muscular dystrophy (GRMD). From birth the pup was unable to suckle from the bitch and, unlike its littermates, failed to gain weight. Despite supplementary feeding the pup died at 3 days of age.

Gross Pathology: The trapezius, diaphragm, sternocephalicus, abdominal muscles and tongue showed white streaking throughout the length of the muscles. There was an acute aspiration bronchopneumonia.

Laboratory Results: Serum creatine kinase at 1 day old: 306,200 U/L

Genomic amplification of canine dystrophin gene exon 7-specific polymerase chain reaction products (harvested from blood) identified the point mutation in the consensus splice acceptor site in intron 6 of the canine dystrophin gene associated with Golden Retriever muscular dystrophy (GRMD) (R.J.Bartlett et al 1996).

Contributor's Diagnosis and Comments: Skeletal muscle, tongue: Severe, diffuse, polyphasic muscle necrosis and regeneration, Golden Retriever cross, canine.
Etiology: X-linked inherited dystrophin deficiency: GRMD

Cardiac Muscle: No abnormality.
Heart: No abnormality detected.

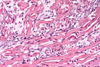
Tongue: There were few areas of normal striated muscle within the tongue. Variation in fiber size associated with muscle degeneration and regeneration was a prominent feature. Degenerate muscle fibers appeared swollen with increased eosinophilia, whereas regenerating muscle fibers were narrow with variable cross sectional diameter and occasional central nuclei. Evidence of muscle regeneration was also demonstrated by prominent clusters of plump myonuclei lining up along the edge of myofibers.

Segmental necrosis of muscle fibers was often accompanied by increased basophilia due to mineralization. Areas of increased tissue basophilia were associated with infiltrates of macrophages and skeletal muscle precursor cells associated with myofiber regeneration.

GRMD is a genotypic and phenotypic homologue of Duchenne muscular dystrophy (DMD) (B.J Cooper et al 1988). In both humans and dogs with dystrophin deficiency there is phenotypic variation in the clinical progression of the disease between individuals. One manifestation of dystrophin deficiency recorded in dogs is a lethal neonatal form (J.McC Howell et al 1994; B.A Valentine et al 1988). Pups presenting with this form of the disease usually have serum creatine kinase levels greater than 1000 times the normal adult range at birth, and die before 14 days of age (B.A Valentine et al 1988; J.McC Howell et al 1994). At post mortem there is severe muscle necrosis and mineralization consistently involving the diaphragm and intercostal muscles (J.McC Howell et al 1994). Muscles severely affected by necrosis and mineralization in this pup included the tongue, trapezius, intercostal and sternocephalicus muscles. Cardiac lesions are usually absent until after 3 months of age (B.A Valentine et al 1989).

The presence of a range of degenerative and regenerative stages within the skeletal muscle of the tongue at 3 days of age indicates muscle necrosis associated with GRMD can occur in utero. These features are consistent with the progression of clinical disease documented by Valentine et al 1988.
 
Case 11-3. Tongue. Note clusters of small round regenerating muscle fibers. Degenerate (hyalinized) muscle fibers are occasionally lined by myocyte nuclei (nuclear rowing) and separated by endomysial fibroplasia.
AFIP Diagnoses:
1. Tongue, skeletal muscle: Degeneration and necrosis, diffuse, severe, with endomysial fibrosis, myocyte regeneration, and mild lymphohistiocytic inflammation, Golden Retriever cross, canine.
2. Heart: No significant lesions.

Conference Note: The normal function(s) of dystrophin, and the mechanism by which dystrophin deficiency results in cardiac and skeletal muscle degeneration, are not known. This protein is most abundant in skeletal, cardiac, and smooth muscle cells, and is linked to an integral membrane glycoprotein. Valentine et al suggest that it is a cytoskeletal protein, possibly involved in membrane stabilization.

In addition to the canine model presented here, a murine mutant, mdx, is also X-linked and lacks dystrophin, and thus is considered to be an animal model for DMD. Although histopathologic changes in both models are similar, the mdx mouse develops little or no detectable weakness, so it is a poor clinical model for DMD.2

Contributor: School of Veterinary and Biomedical Sciences, Murdoch University, Murdoch, Western Australia, 6150

References:
1. Bartlett RJ, Winand NJ, Secore SL, Singer JT, Fletcher S, Wilton S, Bogan DJ, Metcalf-Bogan JR, Bartlett WT, Howell JM, Cooper BJ, Kornegay JN: Mutation segregation and rapid carrier detection of X-linked muscular dystrophy in dogs. Am J Vet Res 57 (5): 650-4, 1996.
2. Cooper BJ, Winand NJ, Stedman H, Valentine BA, Hoffman EP, Kunkel LM, Scott MO, Fischbeck KH, Kornegay JN, R. J. Avery, et al: The homologue of the Duchenne locus is defective in X-linked muscular dystrophy of dogs. Nature 334: 154-6, 1988.
3. Howell JM, Kakulas BA, Pass DA, Genovese L, Johnson R, Lloyd F, Hobley WE: The fulminating neonatal form of expression in the golden retriever dog model of Duchenne muscular dystrophy. Muscle & Nerve; Supplement 1: S182, 1994.
4. Valentine BA, Cummings JF, Cooper BJ: Development of Duchenne-type cardiomyopathy. Morphologic studies in a canine model. Am J Pathol 135: 671-8, 1989.
5. Valentine BA, Cooper BJ, de Lahunta A, O'Quinn R, Blue JT: Canine X-linked muscular dystrophy. An animal model of Duchenne muscular dystrophy: clinical studies. J Neurol Sci 88: 69-81, 1988.

International Veterinary Pathology Slide Bank:
Laser disc frame #9137-8, 9142-3

 

Case IV - B1364 (AFIP 2589271)

Signalment: 5-year-old, female, Friesian, bovine.

History: Four of 200 pasture-fed dairy cows that had been supplementally fed maize silage died a week after aborting late term fetuses. Principal clinical signs included profuse vaginal discharge and labored breathing for two days prior to death.

Gross Pathology: The submitting veterinarian described patchy consolidation of all lung lobes, particularly in the ventral aspect, and diffuse pulmonary congestion and edema. There was recent fibrinous pleurisy and excessive straw-colored pleural exudate that clotted on exposure to air.

Laboratory Results: Mortierella wolfii was cultured from samples of fresh lung.

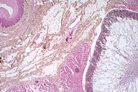
Contributor's Diagnoses and Comments: 1. Acute fibrinonecrotic broncho-interstitial pneumonia with thrombosis, infarction, and intralesional fungal hyphae. 2. Acute fibrinous pleuritis.

Mortierella wolfii is a mucoraceous zygomycete that is the most frequently diagnosed cause of mycotic abortion in New Zealand in dairy cattle. In such cases, the cow develops post-abortion pneumonia. The organism has a restricted distribution in the farming environment, preferring an aerobic, moist situation with a substrate of pH 7.0 to 8.0, conditions provided most often in spoiled silage.
 
Case 10-4. Lung. Necrotic vessel contains numerous hyphae with non-parallel sides, consistent with a zygomycete. 40X
AFIP Diagnosis: Lung: Pneumonia, fibrinonecrotic, acute, diffuse, severe, with necrotizing vasculitis, thrombosis, pleuritis, and fungal hyphae, Friesian, bovine.

Conference Note: When the infected placenta separates from the uterine attachments, hematogenous dissemination of fungi occurs. Widespread growth of fungal hyphae occurs in pulmonary capillaries and larger blood vessels, resulting in necrotizing vasculitis and thrombosis, which leads to infarction and necrosis of pulmonary parenchyma.

Other fungi within the phylum Zygomycota, primarily Mucor and Rhizopus species, can also opportunistically invade the lung and cause similar lesions. Likewise, several species of Aspergillus, in the phylum Ascomycota, can cause severe acute pulmonary lesions in mammals and birds. Although there are morphologic differences in the various groups of fungi, definitive etiologic diagnosis requires fungal culture, immunohistochemistry, or molecular techniques.

Contributor: New Zealand Registry of Animal Pathology, Batchelar Animal Health Laboratory, P.O. Box 536, Palmerston North, New Zealand

References:
1. Cordes DO, Carter ME, diMenna ME: Mycotic pneumonia and placentitis caused by Mortierella wolfii. II. Pathology of experimental infection of cattle. Veterinary Pathology 9, 190-201, 1972.
2. diMenna ME, Carter ME: The identification of Mortierella wolfii isolated from cases of abortion and pneumonia in cattle and a search for its infectious source. Research in Veterinary Science 13:439-442, 1972.
3. Dungworth DL: The Respiratory System. In: Pathology of Domestic Animals, 4th edition, Jubb KVF, Kennedy PC, Palmer N, eds., Academic Press, vol. 2, 665-667, 1993.

International Veterinary Pathology Slide Bank:
Laser disc frame #15642

Terrell W. Blanchard
Major, VC, USA
Registry of Veterinary Pathology*
Department of Veterinary Pathology
Armed Forces Institute of Pathology
(202)782-2615; DSN: 662-2615
Internet: blanchard@email.afip.osd.mil

* The American Veterinary Medical Association and the American College of Veterinary Pathologists are co-sponsors of the Registry of Veterinary Pathology. The C.L. Davis Foundation also provides substantial support for the Registry.

Return to WSC Case Menu.