| macro   |   Hematoxylin and Eosin | ||||
| Close Window | Macro View | Back | ||
|
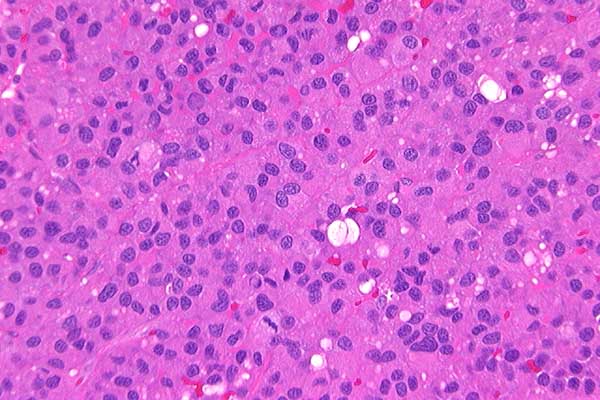
Nuclei are eccentrically located, round to oval, with variably dense chromatin. Note the mitotic figures.
|
||||
|
|
||||
| Return | ||||
|
Nuclei are eccentrically located, round to oval, with variably dense chromatin. Note the mitotic figures.
|
||||