| 40x   |   Hematoxylin and Eosin | ||||
| Close Window | Macro View | Back | ||
|
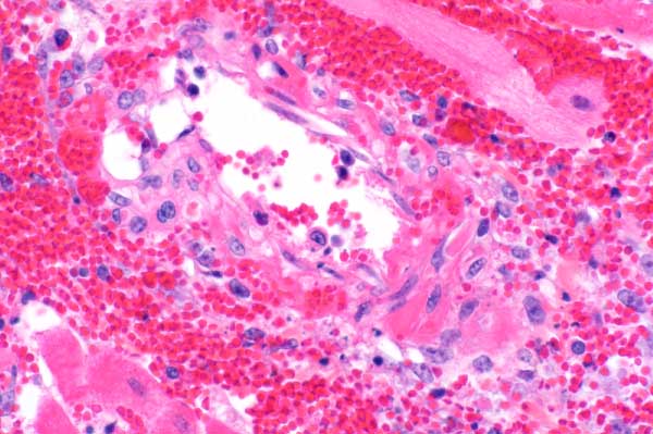
There is necrosis of endothelial cells with fibrin deposition and perivascular hemorrhage.
|
||||
|
|
||||
| Return | ||||
|
There is necrosis of endothelial cells with fibrin deposition and perivascular hemorrhage.
|
||||