10x   |   Hematoxylin and Eosin
Close Window
Macro View
Back
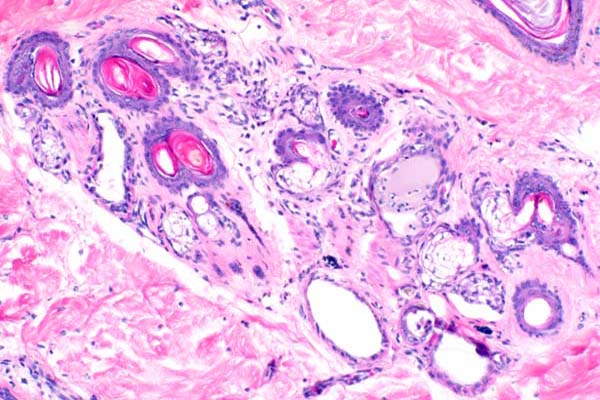
Hair follicles are sparse and apocrine glands are often ectatic.
Return
Hair follicles are sparse and apocrine glands are often ectatic.