| 40x   |   Hematoxylin and Eosin | ||||
| Close Window | Macro View | Show Help | Back | |
|
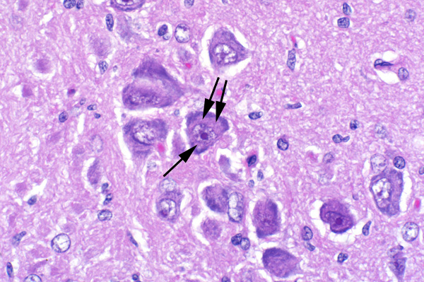
Some neurons have peripheralized Nissl substance and a "ground glass" appearance to the cytoplasm (chromatolysis) (arrows).
|
||||
|
||||
| Return | ||||
|
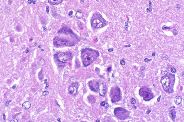
Some neurons have peripheralized Nissl substance and a "ground glass" appearance to the cytoplasm (chromatolysis) (arrows).
|
||||