| 10x   |   Hematoxylin and Eosin | ||||
| Close Window | Macro View | Back | ||
|
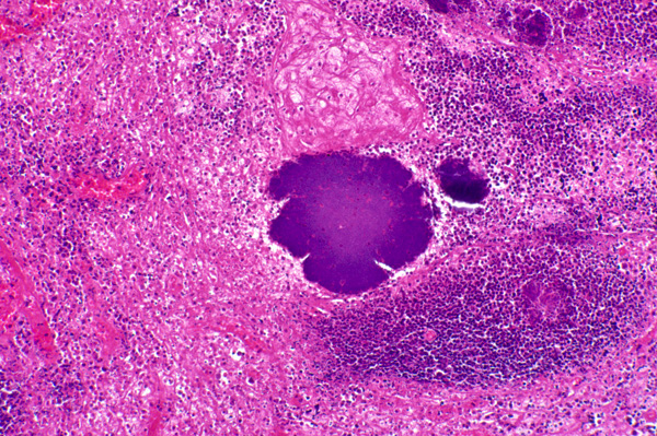
There are scattered variably-sized, large, irregularly shaped, basophilic bacterial colonies.
|
||||
|
|
||||
| Return | ||||
|
There are scattered variably-sized, large, irregularly shaped, basophilic bacterial colonies.
|
||||