| 10x   |   Hematoxylin and Eosin | ||||
| Close Window | Macro View | Back | ||
|
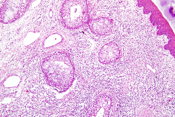
The superficial subconjunctival connective tissue is expanded by inflammatory cells.
|
||||
|
|
||||
| Return | ||||
|
The superficial subconjunctival connective tissue is expanded by inflammatory cells.
|
||||