| 40x   |   Hematoxylin and Eosin | ||||
| Close Window | Macro View | Show Help | Back | |
|
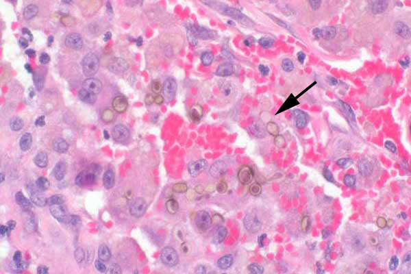
Solitary or chains (pseudohyphae) of pigmented fungi are present within macrophages (arrow).
|
||||
|
||||
| Return | ||||
|
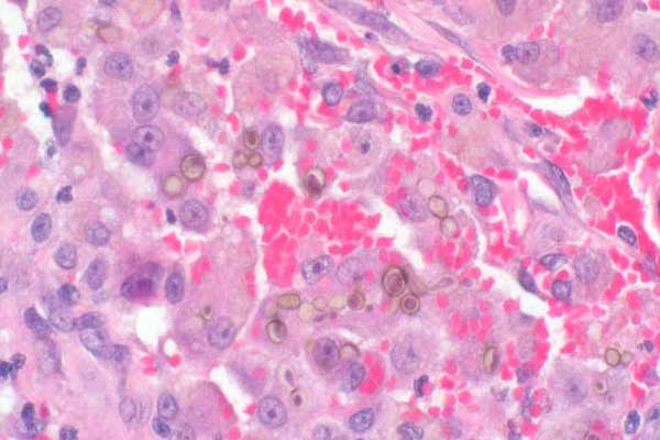
Solitary or chains (pseudohyphae) of pigmented fungi are present within macrophages (arrow).
|
||||