| macro   |   Hematoxylin and Eosin | ||||
| Close Window | Macro View | Show Help | Back | |
|
Submucosal lymphoid tissue is depleted. Focally the remaining crypts herniate through the muscularis mucosa (arrow).
|
||||
|
||||
| Return | ||||
|
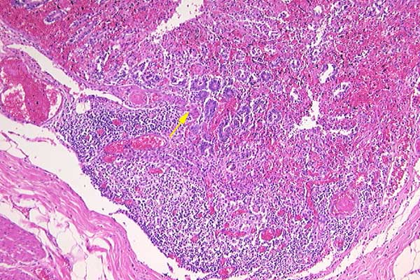
Submucosal lymphoid tissue is depleted. Focally the remaining crypts herniate through the muscularis mucosa (arrow).
|
||||