| 10x   |   Hematoxylin and Eosin | ||||
| Close Window | Macro View | Back | ||
|
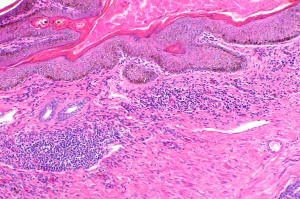
The epithelium is mildly hyperplastic and inflammatory cells infiltrate the superficial dermis.
|
||||
|
|
||||
| Return | ||||
|
The epithelium is mildly hyperplastic and inflammatory cells infiltrate the superficial dermis.
|
||||