| 40x   |   Hematoxylin and Eosin | ||||
| Close Window | Macro View | Show Help | Back | |
|
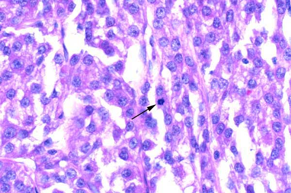
Neoplastic cells are polygonal, with a moderate amount of eosinophilic to finely vacuolated cytoplasm. Nuclei are round, with finely stippled chromatin and a single nucleolus. Note the mitotic figure (arrow).
|
||||
|
||||
| Return | ||||
|
Neoplastic cells are polygonal, with a moderate amount of eosinophilic to finely vacuolated cytoplasm. Nuclei are round, with finely stippled chromatin and a single nucleolus. Note the mitotic figure (arrow).
|
||||