10x   |   Hematoxylin and Eosin
Close Window
Macro View
Back
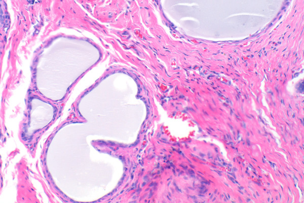
Ceruminous glands are ectatic and filled with amphophilic secretory product.
Return
Ceruminous glands are ectatic and filled with amphophilic secretory product.