| 40x   |   Hematoxylin and Eosin | ||||
| Close Window | Macro View | Show Help | Back | |
|
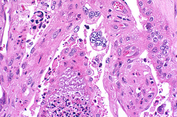
Villi are multifocally lined by large, multinucleated cells (syncytiotrophoblasts - arrow). Villar necrosis (*) is characterized by loss of normal architecture and replacement by eosinophilic cellular and karyorrhectic debris, and degenerate neutrophils.
|
||||
|
||||
| Return | ||||
|
Villi are multifocally lined by large, multinucleated cells (syncytiotrophoblasts - arrow). Villar necrosis (*) is characterized by loss of normal architecture and replacement by eosinophilic cellular and karyorrhectic debris, and degenerate neutrophils.
|
||||