| 2x   |   Hematoxylin and Eosin | ||||
| Close Window | Macro View | Back | ||
|
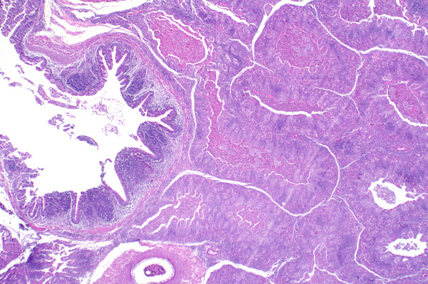
Parabronchi and air capillaries are filled by eosinophilic material and cells; bronchial epithelium is elevated by lymphoid nodules.
|
||||
|
|
||||
| Return | ||||
|
Parabronchi and air capillaries are filled by eosinophilic material and cells; bronchial epithelium is elevated by lymphoid nodules.
|
||||