| 40x   |   Hematoxylin and Eosin | ||||
| Close Window | Macro View | Show Help | Back | |
|
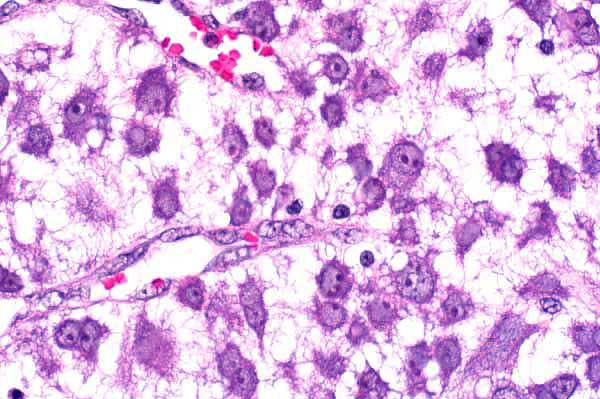
Cells have indistinct cell borders, and a small amount of fibrillar eosinophilic and vacuolated cytoplasm. Nuclei are round with finely stippled chromatin and 1-2 nucleoli. Note the binucleate cells (arrows).
|
||||
|
||||
| Return | ||||
|
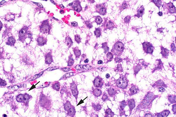
Cells have indistinct cell borders, and a small amount of fibrillar eosinophilic and vacuolated cytoplasm. Nuclei are round with finely stippled chromatin and 1-2 nucleoli. Note the binucleate cells (arrows).
|
||||