| 40x   |   Hematoxylin and Eosin | ||||
| Close Window | Macro View | Show Help | Back | |
|
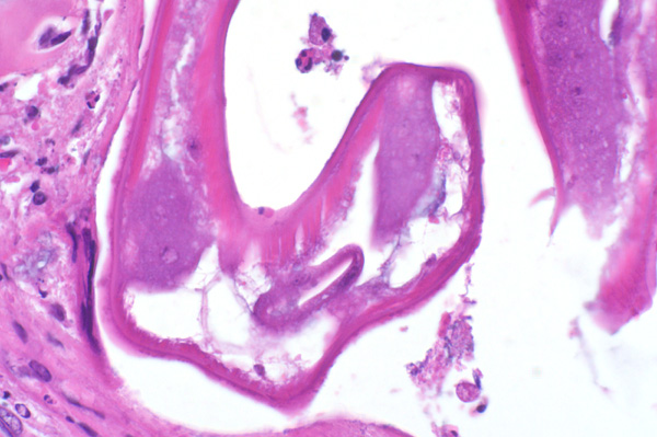
The nematode has a thick (5-8µm) smooth cuticle, polymyarian-coelomyarian musculature, lateral chords (C), and a pseudocoelom containing an intestine (I) lined by few multinucleate cells.
|
||||
|
||||
| Return | ||||
|
The nematode has a thick (5-8µm) smooth cuticle, polymyarian-coelomyarian musculature, lateral chords (C), and a pseudocoelom containing an intestine (I) lined by few multinucleate cells.
|
||||