| 4x   |   Hematoxylin and Eosin | ||||
| Close Window | Macro View | Show Help | Back | |
|
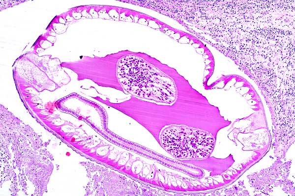
The nematode has a thick smooth pigmented cuticle (arrowhead), coelomyarian-polymyarian musculature (M), prominent and dissimilar lateral cords (C) and a pseudocoelom (P) containing small amounts of eosinophilic material.
|
||||
|
||||
| Return | ||||
|
The nematode has a thick smooth pigmented cuticle (arrowhead), coelomyarian-polymyarian musculature (M), prominent and dissimilar lateral cords (C) and a pseudocoelom (P) containing small amounts of eosinophilic material.
|
||||