| 40x   |   Hematoxylin and Eosin | ||||
| Close Window | Macro View | Show Help | Back | |
|
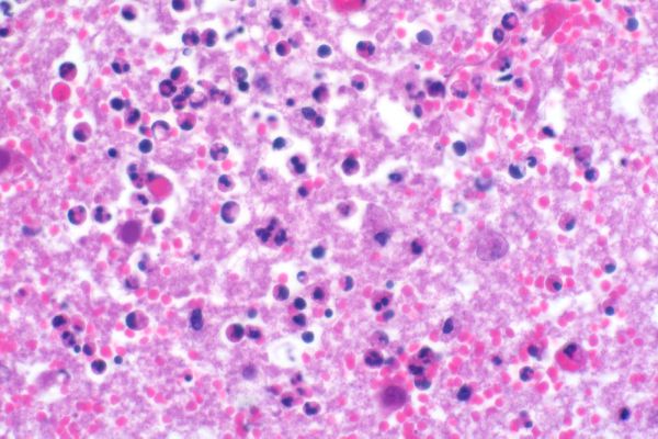
The neuropil is disrupted by neutrophils (ARROWHEAD), debris, hemorrhage and gitter cells (ARROW).
|
||||
|
||||
| Return | ||||
|
The neuropil is disrupted by neutrophils (ARROWHEAD), debris, hemorrhage and gitter cells (ARROW).
|
||||