| 10x   |   Hematoxylin and Eosin | ||||
| Close Window | Macro View | Back | ||
|
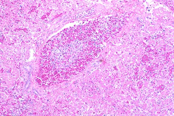
Blood vessels are congested, and their walls are disrupted by karyorrhectic debris, fibrin, erythrocytes and inflammatory cells.
|
||||
|
|
||||
| Return | ||||
|
Blood vessels are congested, and their walls are disrupted by karyorrhectic debris, fibrin, erythrocytes and inflammatory cells.
|
||||