40x   |   Hematoxylin and Eosin
Close Window
Macro View
Show Help
Back
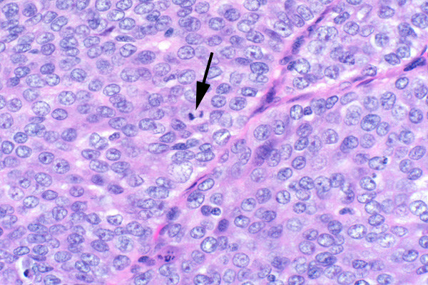
There is mild anisocytosis and anisokaryosis. Note the mitotic figure.
Return
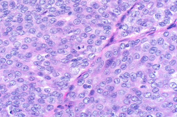
There is mild anisocytosis and anisokaryosis. Note the mitotic figure.