| 40x   |   Hematoxylin and Eosin | ||||
| Close Window | Macro View | Show Help | Back | |
|
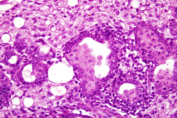
Intralobular ducts are often dilated and lined by hyperplastic or flattened cells (squamous metaplasia) (*).
|
||||
|
||||
| Return | ||||
|
Intralobular ducts are often dilated and lined by hyperplastic or flattened cells (squamous metaplasia) (*).
|
||||