| 40x   |   Hematoxylin and Eosin | ||||
| Close Window | Macro View | Show Help | Back | |
|
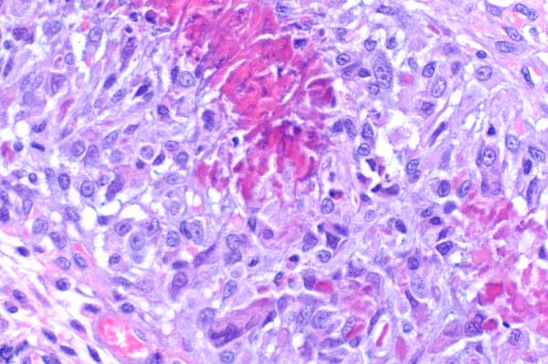
These foci are surrounded by abundant macrophages (sometimes forming multinucleated giant cells (arrow)), eosinophils, neutrophils, lymphocytes and mast cells.
|
||||
|
||||
| Return | ||||
|
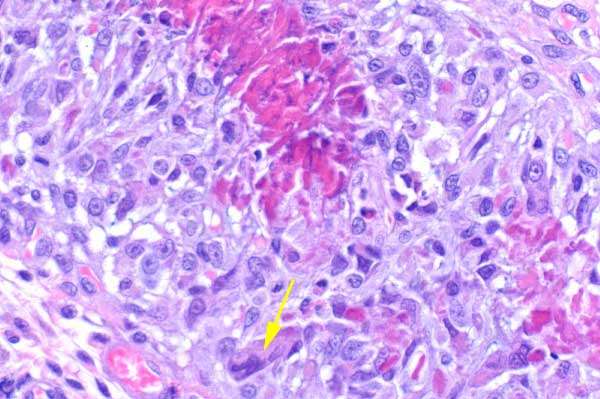
These foci are surrounded by abundant macrophages (sometimes forming multinucleated giant cells (arrow)), eosinophils, neutrophils, lymphocytes and mast cells.
|
||||