| 40x   |   Hematoxylin and Eosin | ||||
| Close Window | Macro View | Show Help | Back | |
|
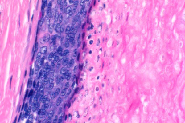
Abrupt keratinization is characterized by a sharp delineation between neoplastic cells and keratinaceous material. There are ghost cells in the keratin (arrowheads).
|
||||
|
||||
| Return | ||||
|
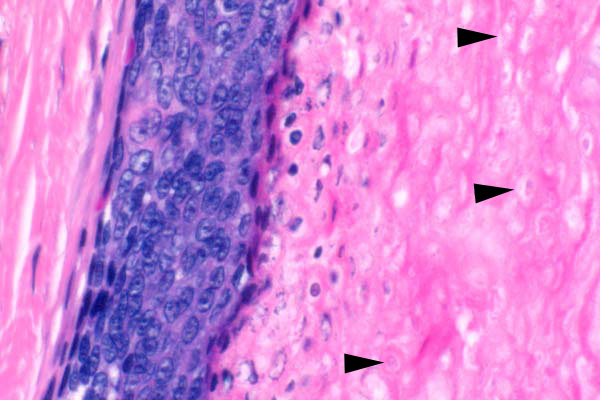
Abrupt keratinization is characterized by a sharp delineation between neoplastic cells and keratinaceous material. There are ghost cells in the keratin (arrowheads).
|
||||