| 10X   |   HE | ||||
| Close Window | Macro View | Back | ||
|
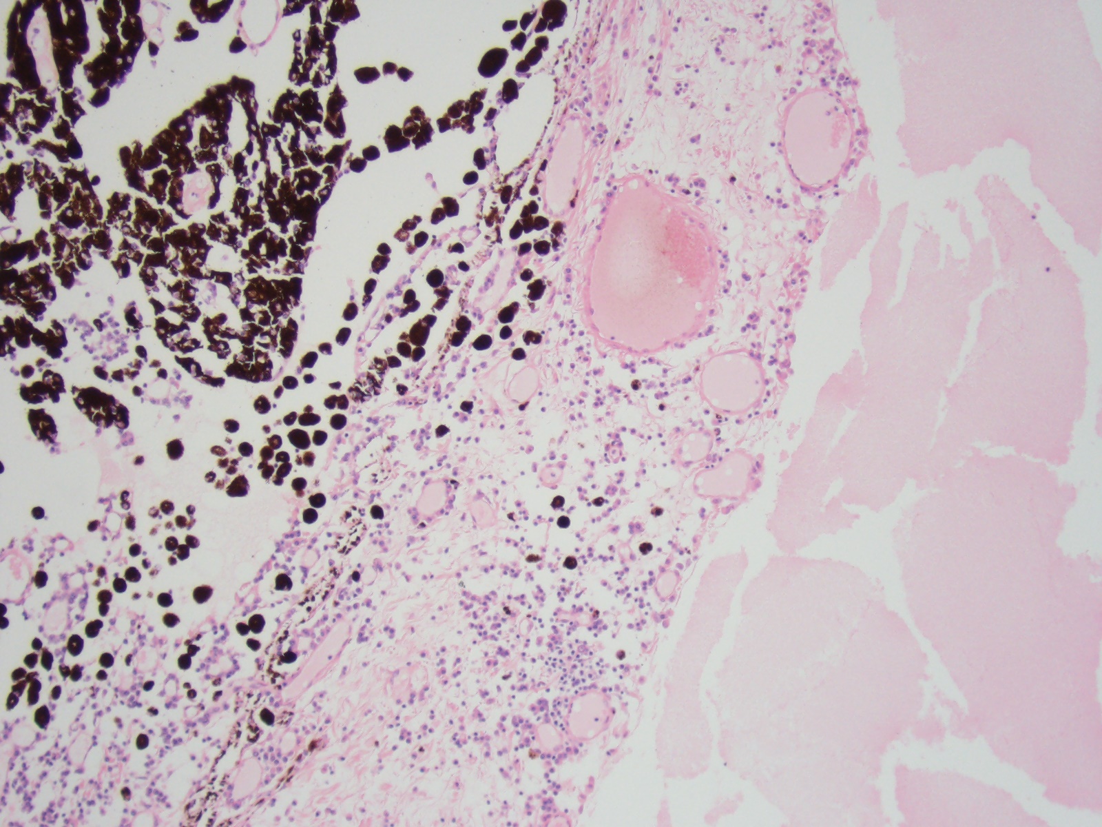
Higher magnification view of preiridal fibrovascular membrane composed of large vascular channels, fibroblasts and loose fibrous connective tissue infiltrated by lymphocytes and plasma cells.
|
||||
|
|
||||
| Return | ||||
|
Higher magnification view of preiridal fibrovascular membrane composed of large vascular channels, fibroblasts and loose fibrous connective tissue infiltrated by lymphocytes and plasma cells.
|
||||