| 20x   |   Hematoxylin & Eosin | ||||
| Close Window | Macro View | Show Help | Back | |
|
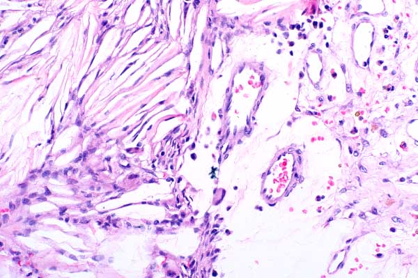
Cholesterol clefts are surrounded by macrophages (sometimes forming multinucleated giant cells (arrows)).
|
||||
|
||||
| Return | ||||
|
Cholesterol clefts are surrounded by macrophages (sometimes forming multinucleated giant cells (arrows)).
|
||||