| 20x   |   Hematoxylin and Eosin | ||||
| Close Window | Macro View | Back | ||
|
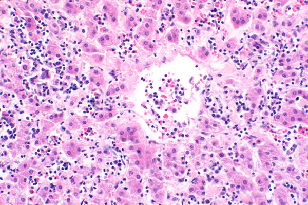
Centrilobular areas are expanded by increased subendothelial collagen (fibrosis).
|
||||
|
|
||||
| Return | ||||
|
Centrilobular areas are expanded by increased subendothelial collagen (fibrosis).
|
||||