| 40x   |   Hematoxylin and Eosin | ||||
| Close Window | Macro View | Show Help | Back | |
|
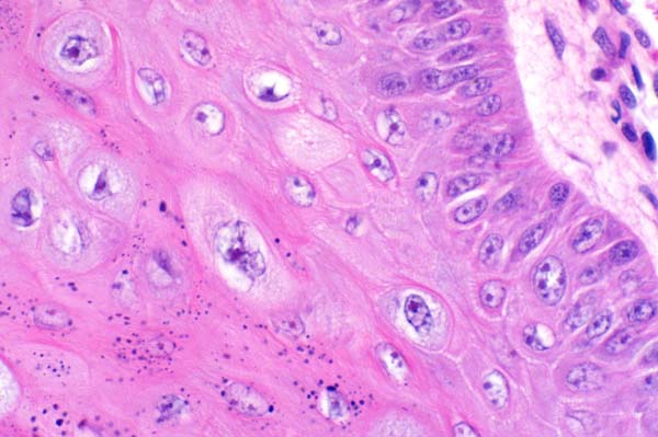
Koilocytes (arrowheads) have pale cytoplasm and a perinuclear clear space.
|
||||
|
||||
| Return | ||||
|
Koilocytes (arrowheads) have pale cytoplasm and a perinuclear clear space.
|
||||