| 10x   |   Hematoxylin and Eosin | ||||
| Close Window | Macro View | Back | ||
|
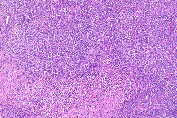
Areas of necrosis occasionally disrupt the sheets of polygonal neoplastic cells.
|
||||
|
|
||||
| Return | ||||
|
Areas of necrosis occasionally disrupt the sheets of polygonal neoplastic cells.
|
||||