| 10x   |   Hematoxylin and Eosin | ||||
| Close Window | Macro View | Show Help | Back | |
|
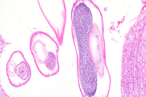
Nematodes have a 1 µm thick, eosinophilic cuticle; polymyarian-coelomyarian musculature; a pseudocoelom; a large intestine lined by few multinucleated cells (I); and a testis (T).
|
||||
|
||||
| Return | ||||
|
Nematodes have a 1 µm thick, eosinophilic cuticle; polymyarian-coelomyarian musculature; a pseudocoelom; a large intestine lined by few multinucleated cells (I); and a testis (T).
|
||||