| 10x   |   Hematoxylin and Eosin | ||||
| Close Window | Macro View | Back | ||
|
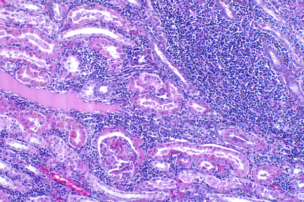
Extensive interstitial inflammation; ectatic tubule at left is filled with proteinaceous fluid.
|
||||
|
|
||||
| Return | ||||
|
Extensive interstitial inflammation; ectatic tubule at left is filled with proteinaceous fluid.
|
||||