100x   |   Hematoxylin and Eosin
Close Window
Macro View
Show Help
Back
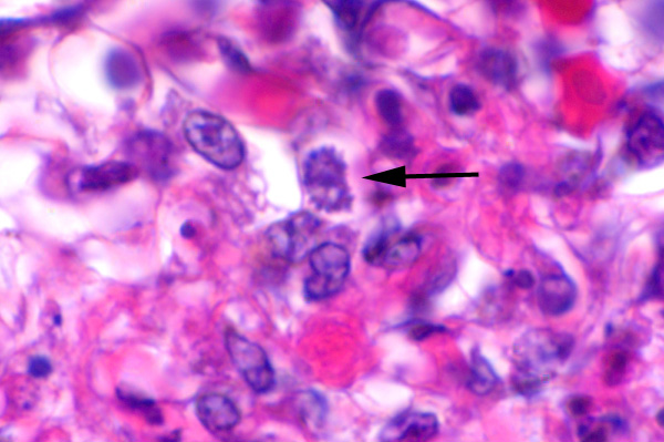
Protozoal merozoites within a cell.
Return
Protozoal merozoites within a cell.