| 40x   |   Hematoxylin and Eosin | ||||
| Close Window | Macro View | Back | ||
|
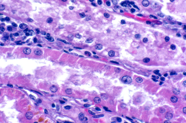
The upper tubule is lined by vacuolated cells with pyknotic nuclei; the lower tubule contains proteinaceous material and faded nuclei.
|
||||
|
|
||||
| Return | ||||
|
The upper tubule is lined by vacuolated cells with pyknotic nuclei; the lower tubule contains proteinaceous material and faded nuclei.
|
||||