| 10X   |   | ||||
| Close Window | Macro View | Back | ||
|
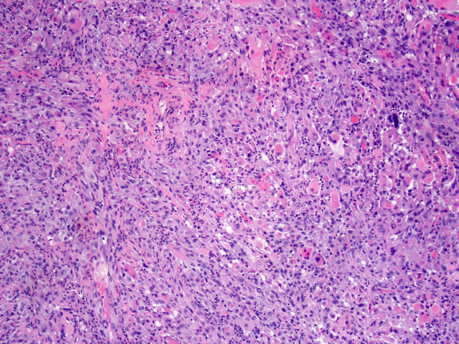
The neoplasm is composed of tightly packed moderately to highly pleomorphic spindle cells arranged in disorganized interlacing streams bundles and solidly cellular sheets on a scant collagenous matrix.
|
||||