2x   |   Hematoxylin and Eosin
Close Window
Macro View
Back
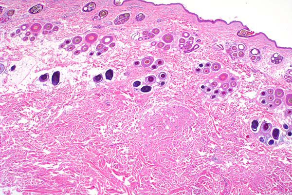
The dermis is expanded by eosinophilic, irregular, collagenous stroma.
Return
The dermis is expanded by eosinophilic, irregular, collagenous stroma.