| 20x   |   Hematoxylin and Eosin | ||||
| Close Window | Macro View | Show Help | Back | |
|
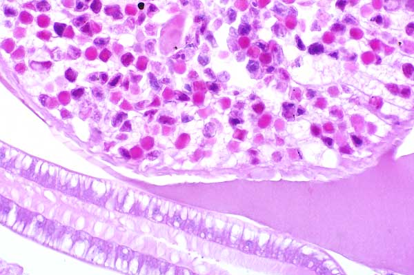
Digestive tract is lined by many uninucleate columnar epithelial cells with long, prominent microvilli (brush border)(*).
|
||||
|
||||
| Return | ||||
|
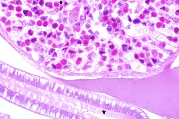
Digestive tract is lined by many uninucleate columnar epithelial cells with long, prominent microvilli (brush border)(*).
|
||||