| 40x   |   Hematoxylin and Eosin | ||||
| Close Window | Macro View | Back | ||
|
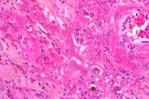
Necrosis is characterized by amorphous, eosinophilic material, and cytolytic and karyorrhectic debris with hemorrhage.
|
||||
|
|
||||
| Return | ||||
|
Necrosis is characterized by amorphous, eosinophilic material, and cytolytic and karyorrhectic debris with hemorrhage.
|
||||