| 4X   |   Hematoxylin and Eosin | ||||
| Close Window | Macro View | Back | ||
|
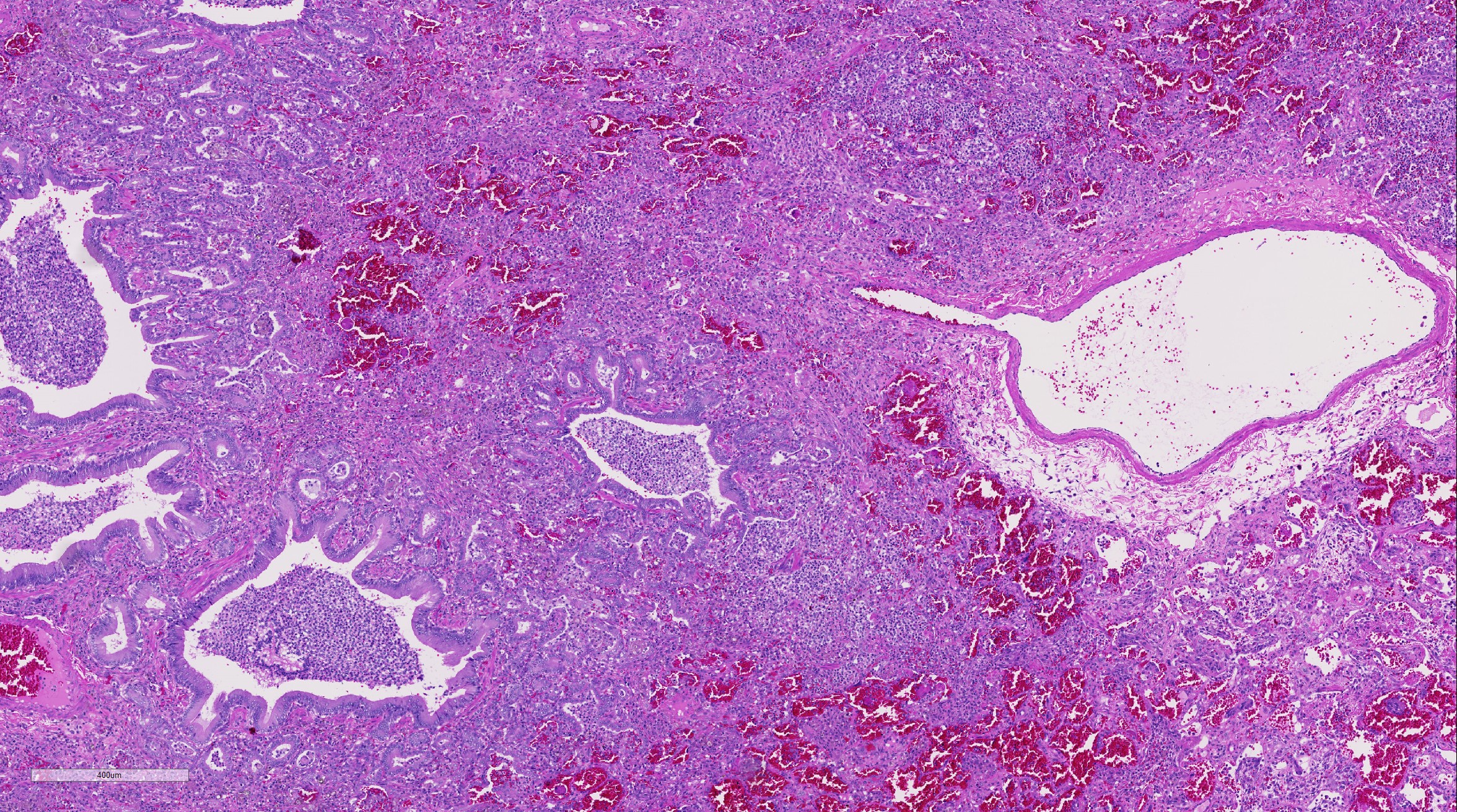
Lung: Bronchi and bronchilar lumina contain a hemorrhagic cellular exudate, bronchiolar epithelium is hyperplastic, and there is perivascular edema.
|
||||
|
|
||||
| Return | ||||
|
Lung: Bronchi and bronchilar lumina contain a hemorrhagic cellular exudate, bronchiolar epithelium is hyperplastic, and there is perivascular edema.
|
||||