| 40x   |   Hematoxylin and Eosin | ||||
| Close Window | Macro View | Show Help | Back | |
|
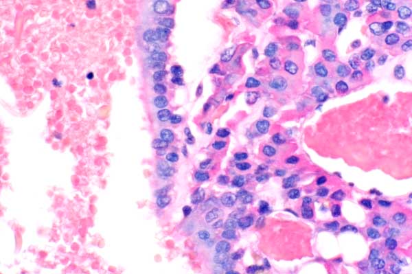
The epithelium lining the cyst is cuboidal to columnar, and is multifocally ciliated (arrow).
|
||||
|
||||
| Return | ||||
|
The epithelium lining the cyst is cuboidal to columnar, and is multifocally ciliated (arrow).
|
||||