| 40x   |   Hematoxylin and Eosin | ||||
| Close Window | Macro View | Show Help | Back | |
|
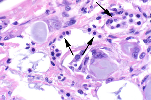
Multinucleated cells surround amorphous material. There is type II pneumocyte hyperplasia (arrows).
|
||||
|
||||
| Return | ||||
|
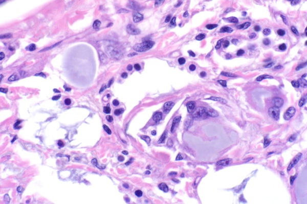
Multinucleated cells surround amorphous material. There is type II pneumocyte hyperplasia (arrows).
|
||||