| 10X   |   | ||||
| Close Window | Macro View | Back | ||
|
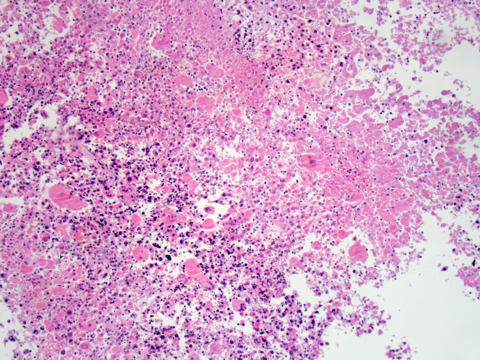
Higher magnification view of necrotic debris, degenerate neutrophils, fibrin and hemorrhage.
|
||||
|
|
||||
| Return | ||||
|
Higher magnification view of necrotic debris, degenerate neutrophils, fibrin and hemorrhage.
|
||||