| 40x   |   Hematoxylin and Eosin | ||||
| Close Window | Macro View | Show Help | Back | |
|
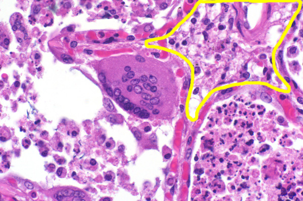
There are many syncytial cells that contain up to 20 nuclei. The surrounding interstitium (circled) is expanded by fibrin and edema, degenerate neutrophils, and eosinophilic cellular and karyorrhectic debris.
|
||||
|
||||
| Return | ||||
|
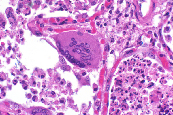
There are many syncytial cells that contain up to 20 nuclei. The surrounding interstitium (circled) is expanded by fibrin and edema, degenerate neutrophils, and eosinophilic cellular and karyorrhectic debris.
|
||||