| 10x   |   Hematoxylin and Eosin | ||||
| Close Window | Macro View | Back | ||
|
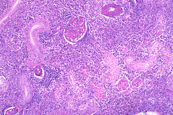
Macrophages separate and surround tubules and glomeruli, and displace hematopoietic tissue.
|
||||
|
|
||||
| Return | ||||
|
Macrophages separate and surround tubules and glomeruli, and displace hematopoietic tissue.
|
||||