2x   |   Hematoxylin and Eosin
Close Window
Macro View
Back
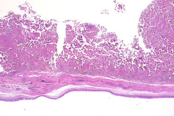
Inflammation extends to the submucosal connective tissue.
Return
Inflammation extends to the submucosal connective tissue.