40x   |   Hematoxylin and Eosin
Close Window
Macro View
Back
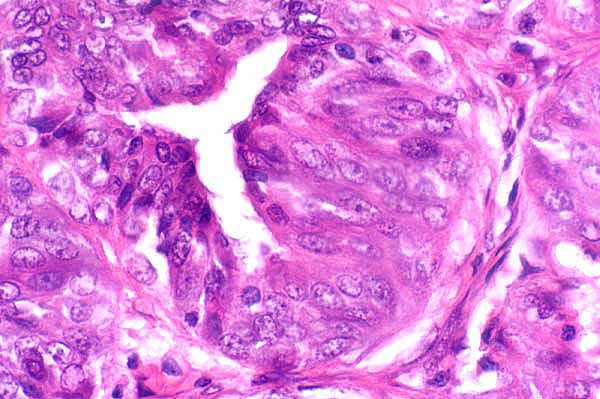
The gland is lined by multiple layers of columnar cells (hyperplasia).
Return
sharpen