20x   |   Hematoxylin and Eosin
Close Window
Macro View
Back
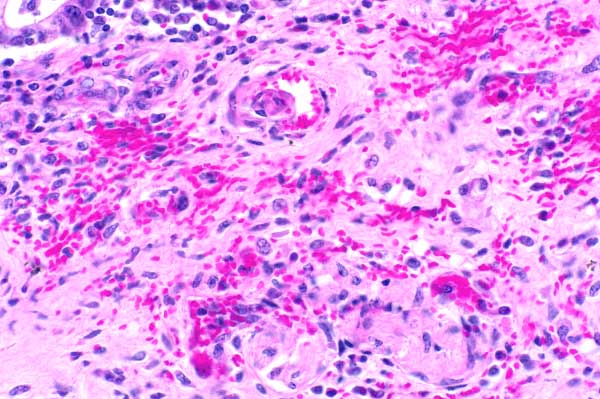
Within the submucusa, there is multifocal hemorrhage.
Return
Within the submucusa, there is multifocal hemorrhage.