| 40x   |   Hematoxylin and Eosin | ||||
| Close Window | Macro View | Show Help | Back | |
|
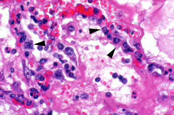
Occasional type II pneumocyte hyperplasia (arrowheads); lumina contain fibrin, edema, mild hemorrhage, and inflammatory cells.
|
||||
|
||||
| Return | ||||
|
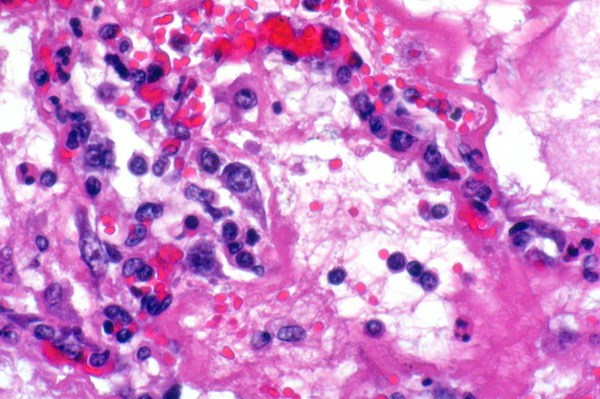
Occasional type II pneumocyte hyperplasia (arrowheads); lumina contain fibrin, edema, mild hemorrhage, and inflammatory cells.
|
||||