2x   |   Hematoxylin and Eosin
Close Window
Macro View
Back
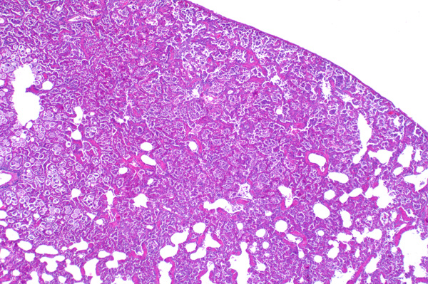
Inflammation fills alveoli and alveolar septa are prominent.
Return
Inflammation fills alveoli and alveolar septa are prominent.